【削らないラミネートベニア】歯を削らずに美しい歯へ!メリット・デメリット、費用、クリニック選びも解説

Column

【削らないラミネートベニア】歯を削らずに美しい歯へ!メリット・デメリット、費用、クリニック選びも解説

「歯並びや歯の色が気になって、自信を持って笑えない…」

「ラミネートベニアで歯を美しくしたいけど、歯を削るのはちょっと抵抗がある…」

そんな悩みをお持ちのあなたへ。

近年、歯の美容治療として注目を集めている「ラミネートベニア」。

セラミック製の薄い板を歯の表面に貼り付け、歯並びや色を美しく整えられる人気の治療法です。

しかし、従来のラミネートベニアは、歯の表面を削る必要があるため、「歯を削るのはちょっと…」と抵抗を感じる方も少なくありません。

そこで今回は、歯を削らずに美しい歯を実現できる「削らないラミネートベニア」について、詳しく解説していきます。

ぜひ最後まで読んで、あなたにぴったりの治療方法を見つけてくださいね。

ラミネートベニアと削らないラミネートベニア

ラミネートベニアとは?

ラミネートベニアは、歯の表面を薄く削ってセラミック製の薄い板を貼り付け、歯並びや色を美しくする治療法です。 歯の色や形を自由に変えられるため、見た目を大きく改善したい方におすすめです

例えば、以下のようなお悩みをお持ちの方に適しています。

  • 歯の色が黄色っぽくて気になる
  • 歯並びが不揃いでコンプレックスがある
  • 歯の隙間が目立つ
  • 歯が欠けていたり、摩耗している
  • 歯の形状にコンプレックスがある

ラミネートベニアのメリット

ラミネートベニアには、以下のようなメリットがあります。

  • 見た目が美しく、自然な仕上がりになる
  • 歯並びや歯の色を改善できる
  • 歯の表面を覆うため、汚れや着色がつきにくい
  • 耐久性が高く、長持ちする

ラミネートベニアのデメリット

ラミネートベニアには、メリットだけでなく、以下のようなデメリットも存在します。

  • 歯を削る必要がある
  • 費用が比較的高額になる場合がある
  • 歯茎との境目が黒ずんで見える場合がある
  • 破損した場合、再治療が必要になる

削らないラミネートベニア(ノンプレップベニア)とは?

「削らないラミネートベニア」または「ノンプレップベニア」と呼ばれる治療法は、歯を削らずに、歯の表面に薄いセラミック製のシェルを貼り付ける方法です。 従来のラミネートベニアと異なり、歯をほとんど削る必要がないため、健康な歯をなるべく削りたくないという方におすすめです。

具体的には、歯の表面を研磨したり、ごくわずかに調整したりする程度で、健康な歯質をできるだけ残すことができます

近年、技術革新によって、より強度が高く、自然な仕上がりを実現できる素材が開発されており、注目を集めています。

削らないラミネートベニアのメリット

ラミネートベニアと比較したメリット

削らないラミネートベニアは、従来のラミネートベニアと比較して、以下のようなメリットがあります。

項目 ラミネートベニア 削らないラミネートベニア
歯の削り方 歯の表面を0.6mm~1.2mm程度削る 歯を削らない、またはごくわずかに研磨する程度
歯質への負担 歯を削るため、歯質への負担がある 歯を削らないため、歯質への負担が少ない
治療後の知覚過敏 治療後に知覚過敏が起こる可能性がある 知覚過敏が起こるリスクほとんどない

歯を削らないメリット

削らないラミネートベニアの最大のメリットは、何と言っても「歯を削らない」ことです。 歯を削ることで、以下のようなリスクが生じることがあります。

  • 歯の神経へのダメージ
  • 知覚過敏
  • 歯の破損
  • 虫歯のリスク増加

削らないラミネートベニアなら、これらのリスクを軽減することができます。 健康な歯をなるべく残したい方にとって、大きなメリットと言えるでしょう。

見た目の自然さ

削らないラミネートベニアは、歯を削らない分、より自然な仕上がりを実現できます。 歯の表面を大きく削ってしまうと、人工的な印象を与えてしまう可能性がありますが、削らないラミネートベニアなら、自然な透明感や光沢を出すことができます。

特に、歯と歯茎の境目も自然に仕上げることができ、より美しい笑顔を手に入れることができます。

歯の健康への影響が少ない

削らないラミネートベニアは、歯を削らないため、歯の健康への影響も少ないです。 歯を削ると、歯の表面のエナメル質が薄くなってしまい、歯が弱くなってしまうことがあります。

しかし、削らないラミネートベニアなら、健康な歯をできるだけ残すことができるため、歯の健康を維持することができます。

治療期間が短い

削らないラミネートベニアは、従来のラミネートベニアと比べて、治療期間が短くなる場合が多いです。 歯を削る必要がないため、治療の工程が簡略化され、短期間で治療を終えられます。

忙しい方でも、比較的短期間で治療を受けられるのは嬉しいポイントですね。

削らないラミネートベニアのデメリット

適用範囲が限定的

削らないラミネートベニアは、歯を削らない分、適用できるケースが限られています。 歯の形状や状態によっては、削らないラミネートベニアが適さない場合もあります。

例えば、歯の変色がひどい場合や、歯並びの乱れが大きい場合は、従来のラミネートベニアの方が適している場合があります。

削らないラミネートベニアの費用

費用相場

削らないラミネートベニアの費用は、1本あたり9万円〜18万円程度が相場です。

治療を受ける歯の本数や、使用する素材、クリニックによって費用は異なります。

従来のラミネートベニアと比べて、費用が抑えられる場合もありますが、必ずしも安いとは限りません。

事前に複数のクリニックで見積もりを取って比較検討し、納得できる費用で治療を受けられるようにしましょう。

5DENTAL東京銀座での費用はこちらを参照ください。

費用に影響する要素

削らないラミネートベニアの費用は、以下の要素によって影響を受けます。

  • 治療を受ける歯の本数
  • 使用する素材
  • クリニックの場所
  • 歯科医師の技術

保険適用について

残念ながら、削らないラミネートベニアは、保険適用外です。

歯を削らずに、見た目を改善する治療は、保険の対象外とされているため、全額自己負担となります。

治療を受ける前に、費用についてしっかりと確認し、予算と相談しながら治療計画を立てましょう。

事前にカウンセリングを受けてみて、歯科医師との相性やクリニックの雰囲気を確認するようにしましょう。

5DENTAL東京銀座が選ばれる理由

当院では、患者様の歯を削らずに美しくする「削らないラミネートベニア」を得意としており、数多くの症例実績があります。

患者様にとって最善の治療をご提供するために、高度な技術と最新の設備を導入し、丁寧なカウンセリングと安心のサポート体制を整えています。

豊富な経験と実績

当院では、長年ラミネートベニアの治療に携わってきた経験豊富な歯科医師が、患者様一人ひとりの状態に合わせた治療を提供しています。

数多くの症例を経験してきたからこそ、患者様の希望を叶えることができる治療を提供できます。

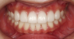
【当院での症例集】削らないラミネートベニア

すきっ歯のため上前歯6本 ラミネートベニア

<術前>

<術後>

削らないラミネートベニアで歯の形、すきっ歯を改善した症例です。

すきっ歯で前歯の軸が右に曲がっていました。
全体的にホワイトニングをしてから、削らないラミネートベニア6本を行いました。

リスクと副作用 ラミネートベニアはすきっ歯を埋めることはできますが、出っ歯や歯の出っ張りを引っ込めることはできません。出っ歯や歯の出っ張り部分を削れば、歯の形を修正することもできます。状況によって術後に、疼痛・咬合時痛・冷水痛などが生じる場合があります。
治療費 375,000円(税込)
治療期間 3週間

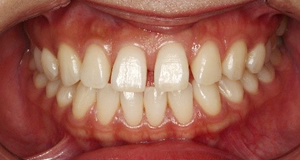
歯の色、形を改善 白い色のベニアを選択したケース

<術前> <術後>

削らないラミネートベニアで歯の色・歯の形を改善した症例です。ラミネートベニアは前歯をキレイに華やかにすることができます。

お顔と調和しスマイルラインに沿った美しい仕上がりになりました。ラミネートベニアの色は明るい白を選ばれ、お口元の印象がすごく整いました。

リスクと副作用 削らないラミネートベニアは削らないで接着するので、元の歯よりも少し厚くなります。この症例のように歯を大きくすることはできますが、歯を小さくしたり出っ歯は治せません。状況によって術後に、疼痛・咬合時痛・冷水痛などを生じる事があります。
治療費 544,500円(税込)
治療期間 4週間

丁寧なカウンセリングと安心のサポート

当院では、患者様とのコミュニケーションを大切にし、丁寧なカウンセリングを心がけています。

患者様の希望や不安をしっかりと聞き取り、納得のいくまで丁寧に説明いたします。

治療に関するご質問や不安な点などがあれば、お気軽にご相談ください。

患者様一人ひとりに合わせた治療計画

当院では、患者様一人ひとりの歯の状態や希望に合わせて、最適な治療計画を立案しています。

削らないラミネートベニアだけでなく、他の治療法との組み合わせなども検討し、患者様に最適な治療をご提案します。

アクセス抜群の好立地

当院は、東京・丸の内の駅チカに立地しており、アクセス抜群です。

お仕事帰りや買い物のついでにも、お気軽にご来院いただけます。

5DENTAL東京銀座では、患者様の歯を削らずに美しくする「削らないラミネートベニア」に力を入れています。

なるべく歯に負担の少ない治療を考えている方は、ぜひ一度、当院にご相談ください。

5DENTAL東京銀座の削らないラミネートベニアはこちら

まとめ|削らないラミネートベニアで美しい歯を手に入れよう!

この記事では、歯を削らずに美しい歯を実現できる「削らないラミネートベニア」について解説しました。

削らないラミネートベニアは、歯を削ることに抵抗がある方や、健康な歯をできるだけ残したい方にとって、非常に魅力的な治療法です。

しかし、適用できるケースが限られていることや、耐久性が劣る可能性があることなど、デメリットも存在します。

治療を受ける前に、メリットとデメリットを理解し、自分の歯の状態や希望に合った治療法を選ぶようにしましょう。

5DENTAL東京銀座では、患者様の歯を削らずに美しくする「削らないラミネートベニア」に力を入れています。

なるべく歯に負担の少ない治療を考えている方は、ぜひ一度、当院にご相談ください。

5DENTAL東京銀座の削らないラミネートベニアはこちら