短期間で効果を実感
ほぼダウンタイムなし
5DENTAL TOKYO GINZA
銀座駅
出口直結
有楽町駅
すぐ
全国各地から
患者様が
多数来院中
当院はガミースマイルや
歯の大きさ・形を整える
治療を数多く行っています
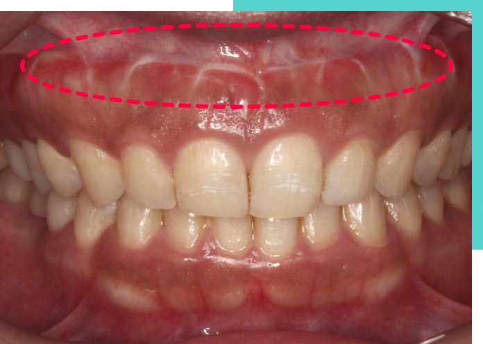
ガミースマイルとは、笑った時に口元から歯ぐき(歯肉)が見えてしまう状態のことです。この症状があると口元の美しさが損なわれてしまうことがあります。
キレイな白い歯であれば、口元が美しくみえると思われがちですが、実は笑った時の歯ぐきの見え方や歯の形や大きさも、口元の美しさを創る重要な要素となります。
口元から歯ぐき(歯肉)が大きく見えてしまうと、怖い印象を与えてしまったり、品がなく見えてしまうということがあります。またコンプレックスから人前で思いっきり笑う・写真を撮るなどの日常動作に支障が出ることも。発症率は、男性より女性の方が2倍高いとされています。
口元の美しさは、笑った時の
歯ぐきの見え方や
歯の形や大きさも重要です
CAUSES OF A GUMMY SMILE
複数の要因が関連しているケースも
ガミースマイルは、上前歯の歯列が前方に下方に出ているなどの顎顔面の骨格的要因、
歯の形や大きさと歯並び、くちびるや口元周りの筋肉の影響
など、いくつかの要因から起こります。
1つの要因による場合もあれば、複数の要因が関連して
ガミースマイルとなっている場合もあります。
歯列の位置の問題
顎顔面の骨格的要因では、上顎の骨と歯列が顔に対して前に下に位置している場合に起こりやすいです。
上の前歯と歯ぐきが前方かつ下方に突出しているため、笑うと口元から目立ちやすく、ガミースマイルになります。
唇の位置や形の問題
くちびるや口元周りの筋肉が強い場合、笑う時にくちびるが上がりすぎてしまうため、ガミースマイルになってしまいます。
歯の短さの問題
歯ぐき(歯肉)が前歯の根元に覆い被さって前歯の縦長さが短い場合や歯が小さい場合には、口元から見える歯ぐきの面積が大きくなるため、ガミースマイルになりやすいです。
当院では、歯肉や歯肉の中の歯槽骨を切除することにより歯や歯ぐき(歯肉)の形を整形する
肉整形(骨整形)施術を採用しています
歯肉整形(骨整形)
局所的な歯科麻酔で行う小手術で、痛みや腫れを最小限に抑えてガミースマイルの改善や歯肉ラインの調整を行えることと、治療効果が長期間で持続するメリットがあります。
また歯肉炎があったり被せ物などの補綴物がある場合においては、歯肉炎の改善や将来的な歯肉退縮の予防の効果を期待して処置することもでき、セラミックやラミネートべニアの審美歯科においても有用な処置です。
治療の負担が少ないため、根本的な矯正治療や骨切り手術を検討中にとりあえずの改善処置として歯肉整形を行う方も非常に多いです。
ガミースマイル治療なら
5DENTAL TOKYO GINZAへ
ガミースマイルは、チャームポイントととらえることもできますが、笑った時に歯ぐきが目立つので口をあけて笑うことができない、笑顔に自信がない、歯を見せることが嫌だというようにコンプレックスとされている方もいます。
このような悩みを解決できるのが、当院で行っているガミースマイル治療です。
お悩みを解決することで、笑顔に自信を持つことができるようになるだけでなく、品の良さや美しさも引き出すことが可能です。
ガミースマイルでお悩みの方は、一度ご相談ください。
外科的施術
口唇縫合術
粘膜切除術、リップリポジショニング
※上の写真は他院での口唇縫合術後の短期間での後戻り症例写真です。
くちびるや口元周りの筋肉が強く、笑うときにくちびるが上がりすぎる状態を改善する方法の1つに、上口唇の裏側の粘膜を切除して上前歯の歯ぐき(歯肉)と縫い合わせる口唇縫合術(粘膜切除術、リップリポジショニング)という方法もあります。
軟組織(やわらかい歯肉)を縫合する処置なのですが、手術後に短期間で後戻りしやすいという大きな欠点があります。
顎顔面の外科手術
骨切り手術、Le Fort手術
顎顔面の骨格的要因が大きい場合(顎変形症)には骨切り手術(Le Fort手術)と呼ばれるような入院下での全身麻酔管理の外科手術が適応になる場合があります。
骨切り手術では手術前と手術後とに分けて矯正治療を行い歯並びと咬み合わせを整えます。手術後は上下の歯列を繋げる顎間固定を伴う数週間の入院管理が必要になります。
大がかりな手術になりますが、顎顔面の骨格的要因の根本的な改善を目指せます。
非外科的施術
歯列矯正治療
ガミースマイルの改善方法として、骨格的要因や歯並びに対しての根本的な改善を行う方法としては矯正治療があります。
根本的な治療としては有用ですが、歯並びのガタガタを改善する矯正治療などに比べると、ガミースマイル改善のための矯正治療は進行がゆっくりで治療期間がかなり長くなります。しかしながら根本的な骨格的要因や歯並びの改善を期待できるため、長期的には安定しやすく有用です。
根本的な矯正治療を始める前や矯正治療中に、とりあえずの改善処置として治療の負担が少ない歯肉整形を行う方も非常に多いです。
ガムピーリング
歯ぐき(歯肉)の色が茶色っぽい黒っぽいメラニン色素沈着がある場合に、レーザーやフェノールでメラニン色素を除去して色味を改善してピンク色にできる方法です。多くの場合には1回だけの処置で色味の改善を行うことができます。
皮膚と違って歯肉は簡単にすぐに処置できます。ホワイトニングで歯が白くなると口元が明るく清潔感が出るのと同じように、歯ぐき(歯肉)の色味が明るくなると口元が明るくキレイに見えるようになります。
ヒリヒリ感を生じる場合があります。
左右非対称なガミースマイルを歯肉整形(骨整形)にて改善しました。この症例は顎顔面の骨格的な歪みがあり、歯並びや咬み合わせも左右非対称です。骨切り手術を含めた大規模な矯正治療を検討しているとのことでしたが、いったんは比較的に低侵襲な選択肢として、歯肉整形(骨整形)とホワイトニングで審美的な改善を行いました。
【治療期間】3週間 【費用】80,000円(税別) 【リスク・副作用】術後2~5日程は傷口に赤みが見えたり、痛みが生じる場合があります。当院で行う歯肉整形は歯と歯肉、歯槽骨に対して行う処置であり、入院が必要な骨切り手術(Le Fort手術)などは対応していません。
上前歯が小さいのとガミースマイルを歯肉整形にて改善しました。上前歯の縦長さが短めで歯が小さく見えて歯肉ラインが不揃いでした。歯肉整形をすることで、口元からの歯の見え方が整ってスマイル時の印象が良くなりました。
【治療期間】2週間 【費用】80,000円(税別) 【リスク・副作用】術後2~5日程は傷口に赤みが見えたり、痛みが生じる場合があります。当院で行う歯肉整形は歯と歯肉、歯槽骨に対して行う処置であり、入院が必要な骨切り手術(Le Fort手術)などは対応していません。
上前歯の形、歯が小さいのとガミースマイルを歯肉整形(骨整形)と削らないラミネートべニアにて改善しました。前歯の歯並びに関連していたガミースマイルですが、歯肉整形(骨整形)と削らないラミネートべニアを併用することで色、形、歯肉を改善し、整った印象の口元へと変化させました。
【治療期間】5週間 【費用】575,000円(税別) 【リスク・副作用】術後2~5日程は傷口に赤みが見えたり、痛みが生じる場合があります。当院で行う歯肉整形は歯と歯肉、歯槽骨に対して行う処置であり、入院が必要な骨切り手術(Le Fort手術)などは対応していません。
削らないラミネートベニアですきっ歯・歯の形を改善した症例です。全体的にホワイトニングを行い、前歯8本にラミネートベニアを行いました。
【治療期間】約10週間 【費用】755,000円(税別) 【リスク・副作用】術後2~5日程は傷口に赤みが見えたり、痛みが生じる場合があります。当院で行う歯肉整形は歯と歯肉、歯槽骨に対して行う処置であり、入院が必要な骨切り手術(Le Fort手術)などは対応していません。
初めの状態
写真やx線写真を撮影しガミースマイルや歯の形、大きさ、歯並びなどの状態を確認します。麻酔をしてクリーニングなどを併用し、細やかな外科処置で低侵襲に歯肉と骨を切除します
手術直後
手術後の痛みや腫れは少ない処置です。3日~1週間で程度で傷口も見た目もある程度落ち着きます。
手術後2週間後
術後の効果が比較的に長期間で効果が持続するのが特長です。
Q.
歯肉整形を行ったあと、将来後戻りはしないですか?
A.
口唇縫合術(粘膜切除術、リップリポジショニング)やボトックス注射は短期間(3ヶ月~半年程度)で効果が薄れてしまう方法ですが、歯肉整形はかたい歯肉や骨を直接に処置する方法なので比較的に長期間で効果が持続します。
3~5年程度で少しの後戻りがありますが再度の処置も可能です。
Q.
ガミースマイルを治したいのですが、審美歯科と美容外科のどちらがお勧めですか?
A.
口腔外の顔に処置を受ける場合には美容外科・美容皮膚科などで行うことができます。口腔内の歯や歯ぐき(歯肉)や歯並びの治療を行う場合には審美歯科で行う必要があります。
また、顎顔面の骨格的要因を骨切り手術で行う場合には歯科大学病院などの入院を伴う外科手術に対応した病院に通院する必要があります。
Q.
歯肉整形を考えていますが、治療の痛みや腫れが不安です。どの程度、腫れや痛みが続くのですか?
A.
当院の歯肉整形は電気メスなどを使わずに細やかな術式専用の器具を用いた低侵襲な方法を用いていて、痛みや腫れは最小限です。
通常の歯肉整形では(切除量が少ない2mm程度)は術後の痛みはほとんどありません。ガミースマイルが強い場合などで(切除量が多い4mm以上)で骨の切除を伴う場合は術後の痛みは出やすいですが、腫れが出ることはあまりありません。
痛みは翌日くらいには落ち着くことが多く、3日~1週間程度で傷口も見た目もある程度落ち着きます。
Q.
歯肉ラインのズレが気に入りません。ラインを整えることは出来ますか?
A.
歯肉の位置は歯並びによって自然に決まっていることが多いのですが、歯肉整形によって歯肉ラインを整えることができます。
例えば、歯肉ラインの左右非対称を改善したりすることができます。
Q.
ガミースマイルはなぜダメなのでしょうか?
A.
ガミースマイルはかわいらしく見える場合もあり、チャームポイントになることもあります。
一方でガミースマイルを改善すると、より整った口元になり品が良く見えると言われています。特に男性は、かわいらしいよりもカッコ良い印象が好まれることが多いので、ガミースマイルの改善をすると良いかもしれません。
Q.
なぜ女性はガミースマイルになりやすいのでしょうか?
A.
男性に比べると女性は顎顔面の骨格が小さい場合があり、顔に対する歯や歯列の占める割合が大きいので、口元から歯や歯列が見えやすい状態になりやすいです。
また女性は男性に比べて皮膚が薄く柔らかいため、笑った時に上唇があがりやすく、ガミースマイルになりやすいです。
| 歯肉整形(1本) | 11,000円(税込) |
| ガムピーリング(1ケース) | 5,500円(税込) |
お支払いは、現金・クレジットカード、メディカルローンの使用も可能です。
高額な歯科治療の場合、デンタルローンプラスでのお支払いがおすすめです。
一般的なクレジットカード払いの場合と比べて、利息もお安くなっていますので、利用して毎月払いにすることで、歯科治療をより受けやすくなります。
なお、利率は業界最低水準の年利2.5%、返済回数は6回以上、120回以内です。こちらは、利用時の年齢が18歳以上、65歳未満の方で安定した収入があればご利用いただけます。