
気になる長い前歯を削りたくても削っていいのか、リスクはないのかなどの不安があります。
今回は前歯が大きい原因や削るリスク、長い前歯を目立たせなくする歯肉整形について解説します。
前歯が長いから削りたいと考えている方は、削る前に最後まで読んでみてください。
5DENTAL東京銀座は、前歯を削らずに目立たなくできる施術を行っております。記事を読んで気になった方はぜひ、ご相談ください。
[column_setbtn_reserve]
[column_table_of_contents]
前歯が長い・大きいと感じる原因は?

前歯が長い・大きい原因は歯肉の位置や歯並び、遺伝が原因です。
おもな原因は以下のとおりです。
- 歯肉の位置が下がっている
- 歯並びが悪く大きく見える
- 遺伝によって歯が大きい
遺伝で歯が大きい場合もありますが、加齢で歯肉の位置が下がったり歯並びが悪かったりして大きく見えるだけの場合もあります。
放置するとコンプレックスになったり口腔トラブルが起こることもあるため、なるべく治療したほうが良いでしょう。
前歯を削るリスク

前歯を削るリスクを解説します。
虫歯や歯周病のリスクが高まる
前歯を削るとエナメル質が失われ虫歯や歯周病などを発症するリスクが高まります。エナメル質は歯の表面を覆う硬い組織です。
通常はエナメル質が虫歯菌を阻んでくれます。しかし菌によってエナメル質が溶かされ薄くなっていると、虫歯の原因菌が歯の内側に入り込みやすくなるのです。
歯を削ることでエナメル質がさらに薄くなり、虫歯や歯周病などの発症リスクが高まってしまうのです。
知覚過敏を引き起こす
前歯を削ると知覚過敏を引き起こしやすくなります。知覚過敏は冷たいものや熱いものなどの刺激によって鋭い痛みを感じる状態です。
歯の内側には神経があります。通常はエナメル質によって歯の表面と神経の距離が長く、刺激にさらされることはありません。
しかし、歯を削ることでエナメル質が薄くなり、歯の神経が刺激にさらされやすくなるのです。結果、知覚過敏を引き起こしやすくなります。
歯と歯の間に隙間ができる
前歯を削ると歯と歯の間に隙間ができる場合もあります。
歯の長さを短くするには、歯の下部を削るだけではありません。削る場所や大きさ、歯の形によっては歯全体を大きく削ることもあります。
そのため、削った歯と隣の歯の間に隙間ができてしまう場合があるのです。
長い前歯を目立たせなくする歯肉整形とその効果

前歯を削ると歯は短くなりますが、口腔トラブルが起こるリスクが高まります。
元にも戻せないため、削る方法は最後の手段としておきましょう。
ここでは長い歯を削らないで目立ちにくくする歯肉整形について解説します。
長い前歯を削って後悔する前に歯肉整形について知っておきましょう。
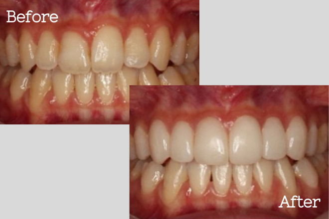
歯肉整形とは?
歯肉整形は歯肉や歯槽骨を切除して歯や歯ぐき(歯肉)の見た目を整える施術です。
歯肉は人によって歯を大きく覆っていたり逆に短く歯が大きく目立っていたりします。また、加齢によって形が崩れたりすることもあります。
その歯肉の多い部分を電気メスやレーザーなどで切除して形を整えるのです。
歯肉整形による前歯の長さ調整の効果
歯肉整形は歯を削らないで長い前歯を目立たせなくできます。
歯肉の位置が原因で歯が長く見える場合です。
- 歯肉の位置が下がって歯が長く見える
- 歯肉が歯を大きく覆って小さくなっている歯の隣が長く見える
歯肉整形で隣の歯と歯肉の位置を合わせることで、歯が長いのを目立ちにくくできるのです。
前歯の長さや大きさに関するよくある質問
前歯の長さや大きさに関する質問をあつめました。
疑問や不安がある方は読んでみてください。
前歯が大きい・長いと感じる場合の治療法は?
前歯が長い・大きいと感じる場合、原因によって治療法は異なります。
「実際に長い歯を短くする」「長く見えている歯を目立たせなくする」など改善方法が違うためです。
- 歯肉整形で長い歯を目立たせなくする
- 歯列矯正(マウスピース・ワイヤー矯正など)で長く見えている歯を目立たせなくする
- 歯を削り実際に歯を短くする
原因に適した治療を受けるだけでなく、費用やリスクを確認し自分にあった方法で施術を受けることが大切です。
前歯が長いのを放置した場合のリスクは?
前歯が長いのを放置した場合、見た目の問題のほかに口の中や健康に被害がでる可能性があります。
- 前歯がコンプレックスになる
- 虫歯や歯周病などの口腔トラブルが起こりやすくなる
- 頭痛やこりなどの健康被害が出る可能性がある
前歯が長い原因は歯肉の位置や歯並びです。
歯並びによって食べ物のカスがたまりやすくなったり、かみ合わせによって肩や首のコリ、頭痛などが発症したりする場合があります。
前歯を削る前に5DENTAL東京銀座へ
前歯が長く気になっている場合、削る施術を受けることで短くできます。
しかし、削ると元に戻せないうえ、口腔トラブルなどが起こるリスクがあります。
前歯の長さが気になるなら5DENTAL東京銀座にご相談ください。
[column_setbtn_reserve]