

今回は 丸の内 帝劇デンタルクリニック の大人気メニュー「削らないラミネートベニア」(NonPrepVeneer)の症例をご紹介いたします。
※以下は症例写真の使用許可を頂いているご症例です。
| Before | after |
|---|---|
![]() |
![]() |
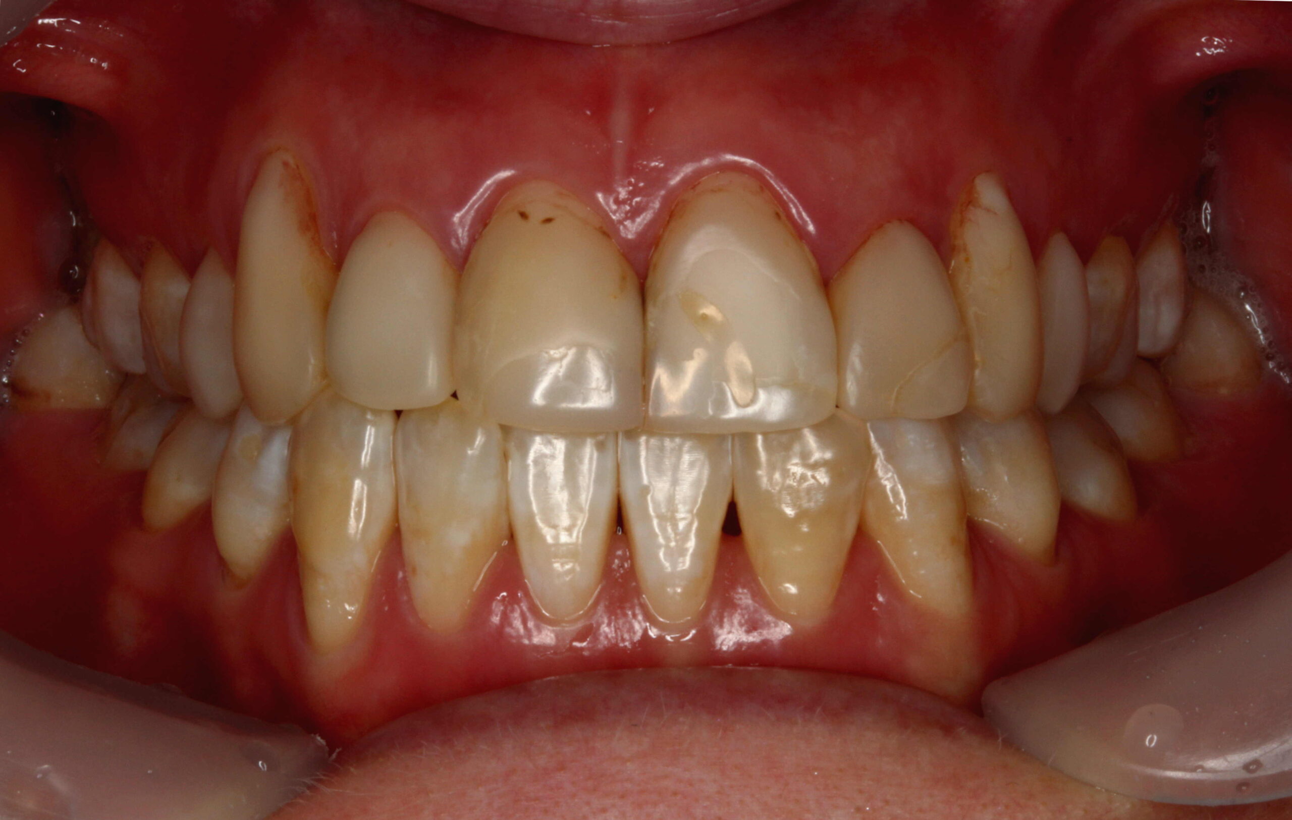
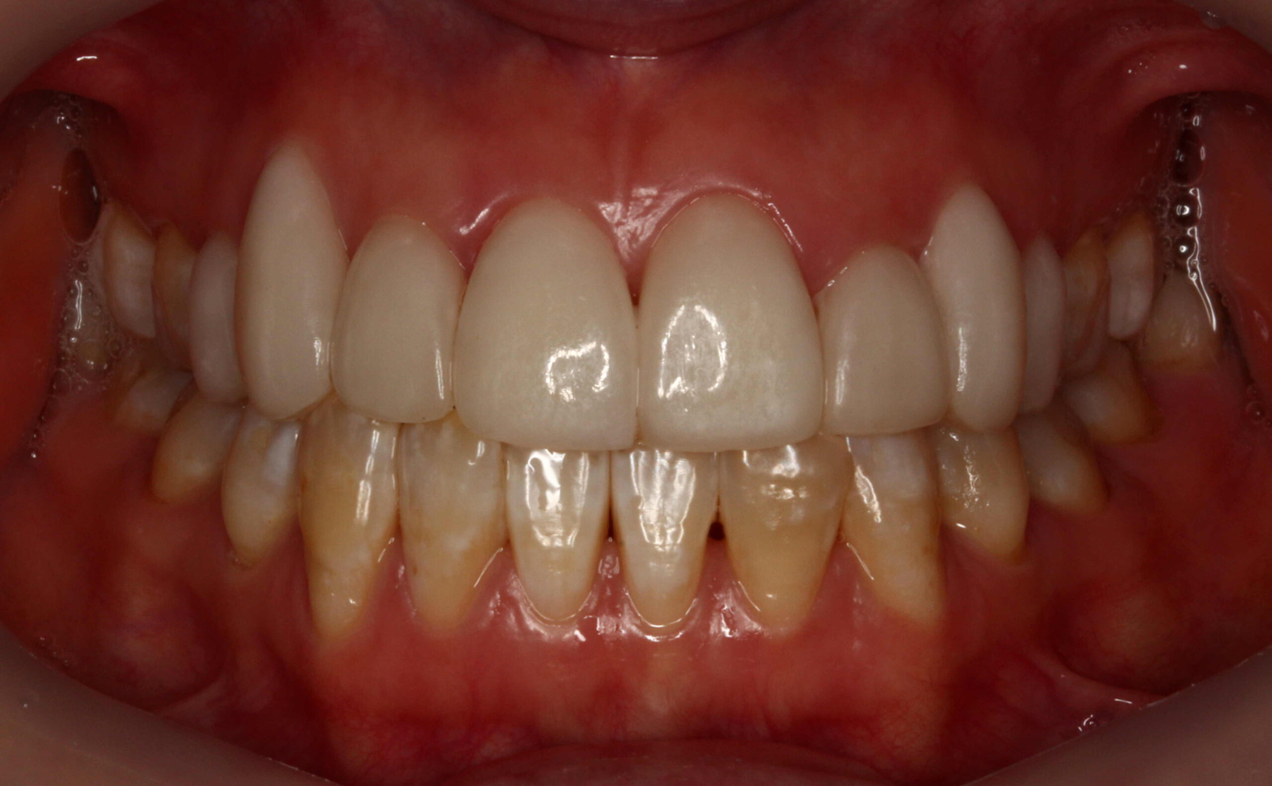
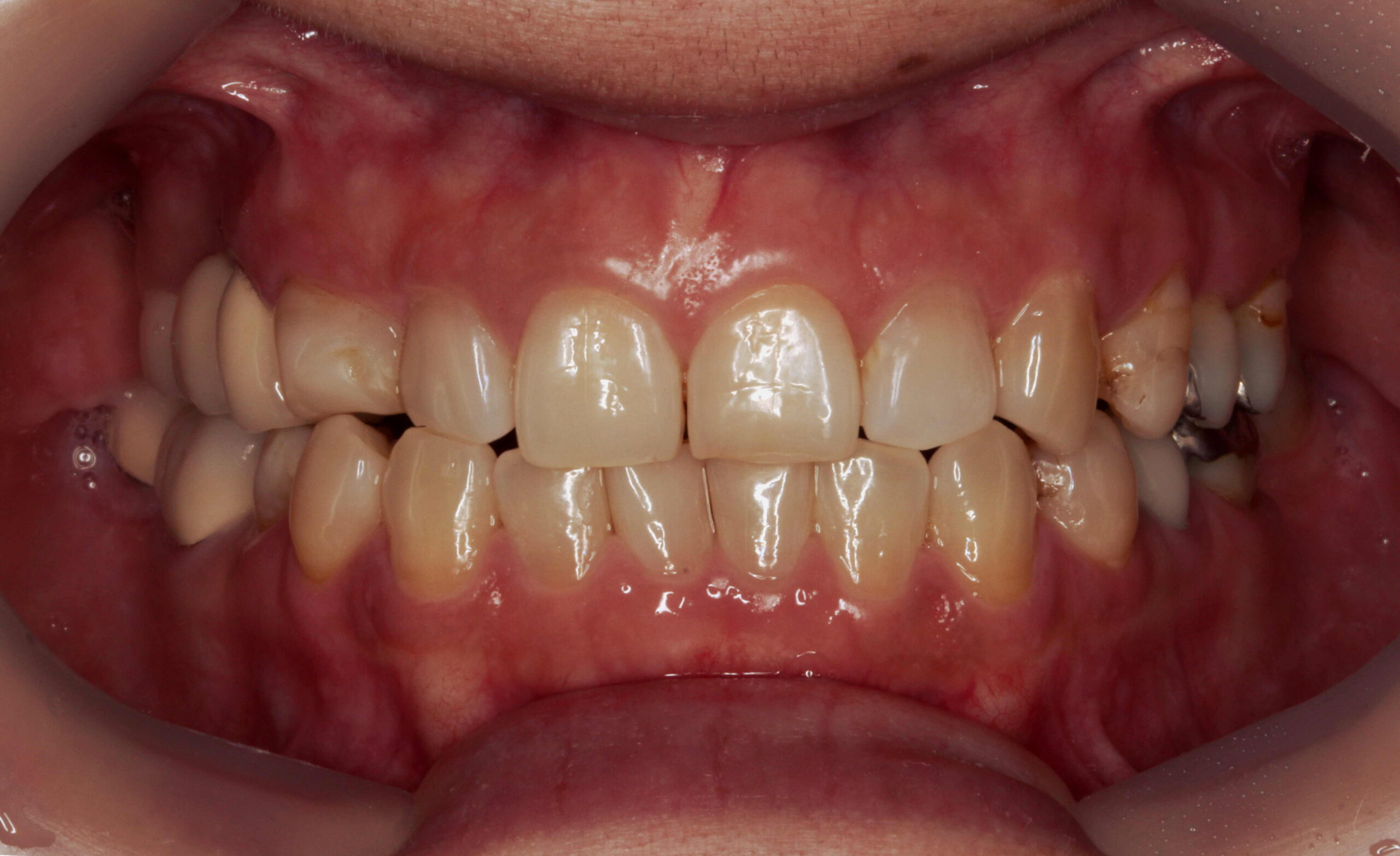
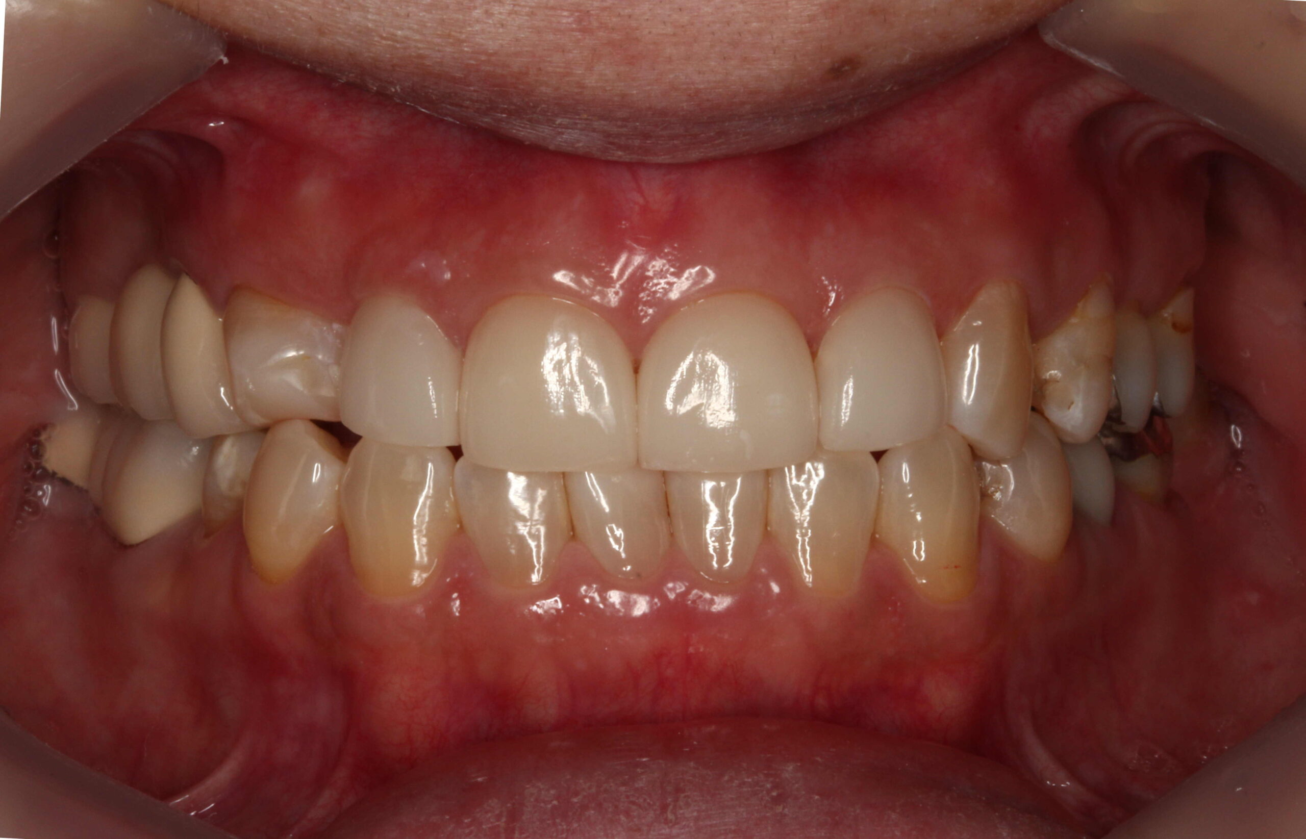
前歯6本の削らないラミネートベニア症例です。
古くなったレジンベニア(プラスチック)が着色し歯の色が気になっている方の症例です。
自然な仕上がりを希望の方で、レジンベニアと虫歯を除去して元の歯に近い形や歯並びで削らないラミネートベニアを作成しました。
削らないラミネートベニアの色は周りの歯に合わせて控えめな白さで作成し、とても自然な仕上がりになりました。
削らないラミネートベニアe.maxはオールセラミックなので、レジン(プラスチック)よりも衛生的で健康的です。
| Before | after |
|---|---|
![]() |
![]() |
前歯6本の削らないラミネートベニア症例です。
すきっ歯を直し、白く理想的な歯並びにしたいとのことです。
すきっ歯の改善は削らないラミネートベニアが最も得意とする症例の1つです。
歯と歯の隙間をなくして、スマイルラインに沿ったキレイな仕上がりになりました。
削らないラミネートベニアの色は自然で明るい白をご希望で、お顔の印象も明るくなりました。
天然歯を削ることのない新しいセラミックの審美歯科です。
| Before | after |
|---|---|
![]() |
![]() |
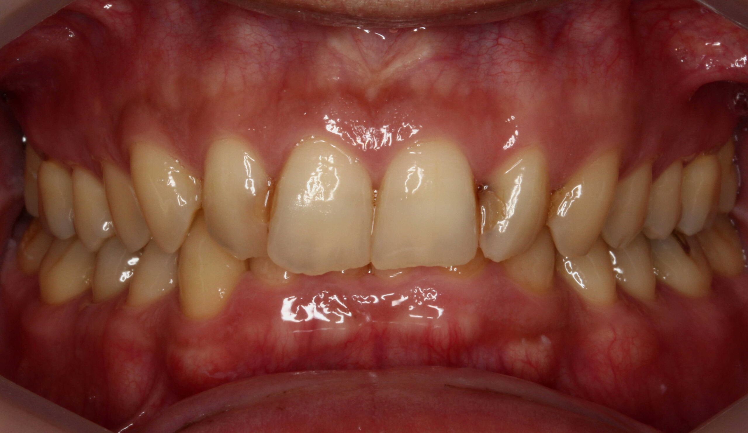
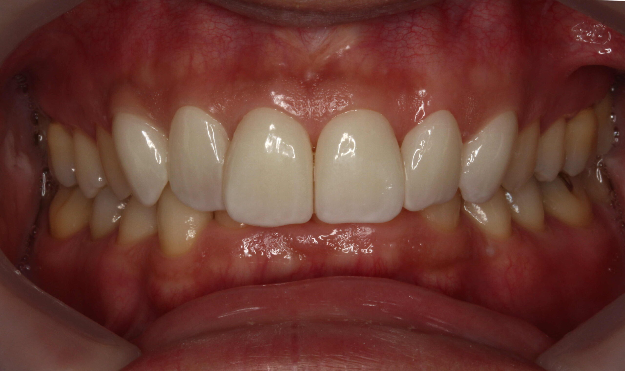
前歯6本の削らないラミネートベニア症例です。
前歯のレジン(プラスチック治療)が劣化し、継ぎ接ぎが目立っている方の症例です。
黄ばみと歯並びを削らないラミネートベニアでの治療希望でした。
この症例も削らないラミネートベニアに適しています。
レジンの継ぎ接ぎが目立っていたのと歯並びが改善されました。
全体的にもホワイトニングも行ったので、清潔感が出てお口元の印象が変わりました。
| Before | after |
|---|---|
![]() |
![]() |
前歯4本の削らないラミネートベニア症例です。
前歯の歯並びと色味が気になっていた方です。
とにかく自然に、少しだけキレイに治したいとのことでした。
削らないラミネートベニア4本を周りの歯と調和させ、自然な色味で合わせました。
とてもとても喜んで頂けました。(削らないラミネートベニアは通常では6本や8本で行うことが多いです。)
この症例も天然歯は削らない審美歯科です。
| Before | after |
|---|---|
![]() |
![]() |
前歯6本の削らないラミネートベニア症例です。
デコボコに並んだ歯並びと色味が気になっていた方です。
遠方より初めから削らないラミネートベニア希望でお見えになりました。
矯正治療を勧めましたがすでに地元で矯正治療をご相談済で、当院には削らないラミネートベニアでのご希望でした。(当院では3Dデジタルマウスピース矯正にも力を入れています。)
内側に入っていた歯を前に出して歯列をそろえることにより、前歯全体がキレイにそろって見えるようになりました。
削らないラミネートベニアベニアで、キレイな歯並びを短期間で手に入れる事が出来ました。
| Before | after |
|---|---|
![]() |
![]() |
削らないラミネートベニア5本とオールセラミッククラウン1本とオールセラミックブリッジ3本分の症例です。
他院で治療したセラミッククラウン左上2とセラミックブリッジ右上543の治療よりも、もっと統一感を出してキレイにしたい、ブラックトライアングルを改善したいとのことでした。
削らないラミネートベニアとクラウンやブリッジの組み合わせ治療です。
実は微妙な合わせ加減を非常に高度技術で行います。
削らないラミネートベニアに精通した歯科医院と歯科技工士が行う必要があります。削らないラミネートベニアに調和するクラウン、ブリッジの製作が必要です。
また削らないラミネートベニアは接着セメントを審美的に色調整ができます。最後の仕上げでは削らないラミネートベニアを接着セメントで微妙に色調整し、調和した色調を合わせていきます。
左上2のセラミッククラウンの治療は歯肉整形処置(歯肉を切って歯の長さを出す外科処置)を併用しました。
削らないラミネートベニアだけでなく審美歯科治療全般の技術を組み合わせて取り組みます。
元々の古いクラウン左上2とブリッジ右上543は外しましたが、天然歯は削っていません。
| Before | after |
|---|---|
![]() |
![]() |
前歯8本の削らないラミネートベニア症例です。
歯の色を歯並びとを治して、口元から歯をキレイに見えるようにしたいとのことでした。
クリーニングやホワイトニングを行い、理想の歯並びと色味を選択しました。
天然歯を削らないラミネートベニアで行いました。
とてもキレイになり、ご本人様のにもご満足頂けました。
《削らないラミネートベニア 適応症例 》
●変色歯
●すきっ歯
●形態不良の歯、欠けた歯
●レジン(プラスチック)で継ぎ接ぎした歯
●歯列不正(デコボコに並んだ歯)
●ホワイトニングよりも白くキレイな歯にしたい方 など
※出っ歯は治せません
丸の内 帝劇デンタルクリニック では、より低侵襲で体に優しい、健康を犠牲にしないような審美歯科治療が望ましいと考えています。
審美歯科の選択肢として、ホワイトニングやクリーニング、矯正治療や削らないラミネートベニアなどの「歯をできるだけ削らない方法」で「健康的な方法」を提案すべきと考えています。
丸の内 帝劇デンタルクリニック
東京都千代田区丸の内3-1-1帝劇ビルB2F
TEL 03-5220-2511













