削らないラミネートベニア(テトラ歯について)

Column

削らないラミネートベニア(テトラ歯について)

削らないラミネートベニア(NonPrepVeneer)は、その名の通り”歯を削らない”審美歯科治療です。

体に優しい審美歯科をコンセプトにしており、歯を削ることに抵抗があって審美治療を諦めていた方をはじめ、多くの方にお問い合わせ・ご来院頂いています。

今回は全体的な変色歯について、テトラサイクリン歯についてお話しします。

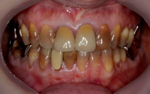
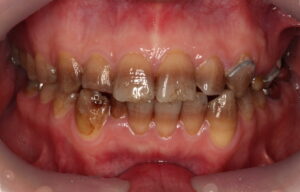
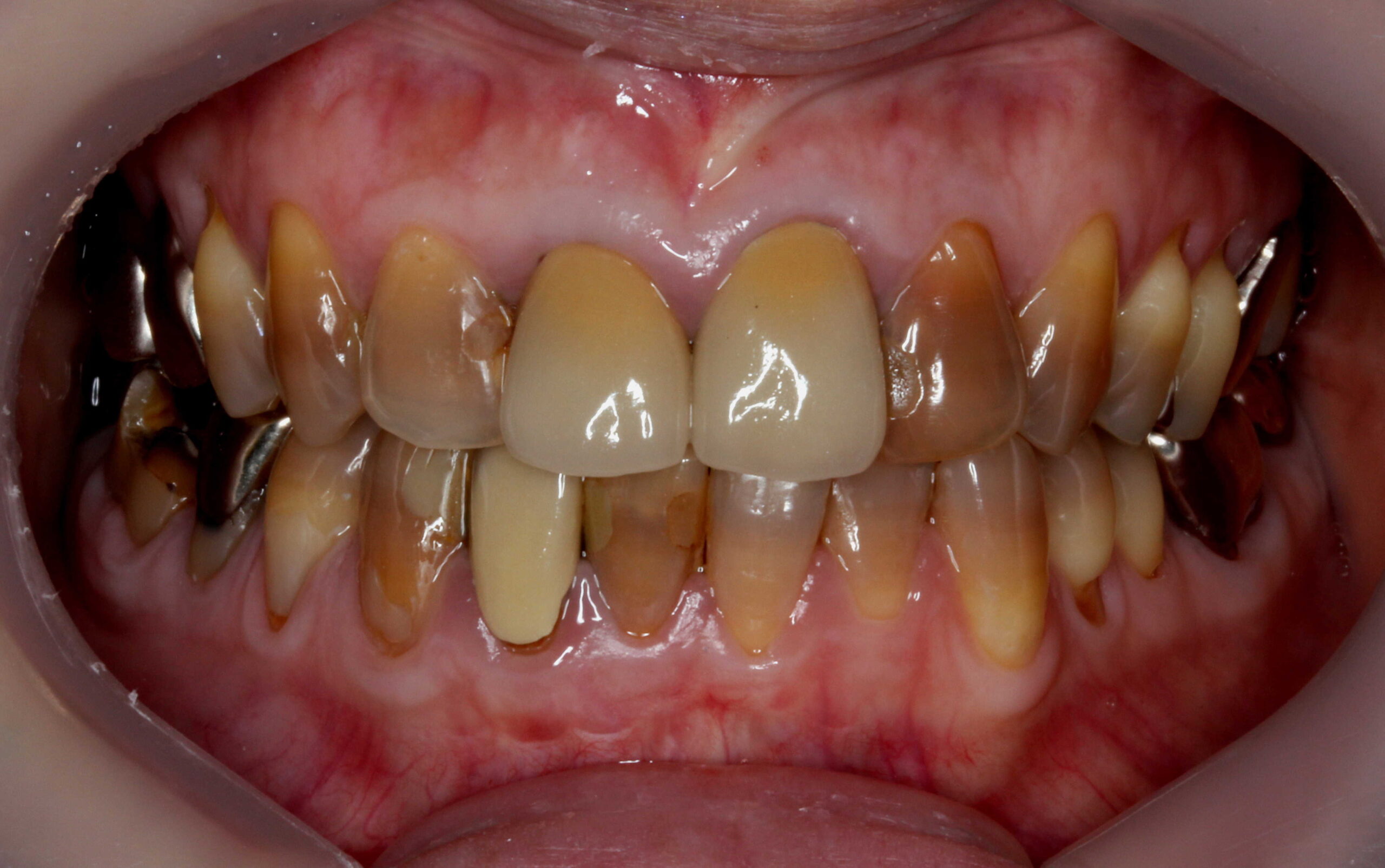
こちらはテトラサイクリン歯の1例です。

歯の1~2本だけでなく全体的な変色があるケースで審美的にマイナスになりがちです。

従来の方法では、ラミネートベニアやセラミッククラウンを行うために歯を削り、セラミック材料を被せて治す方法が主流でした。

今回は、削らないラミネートベニアでの治療についての症例写真となります。

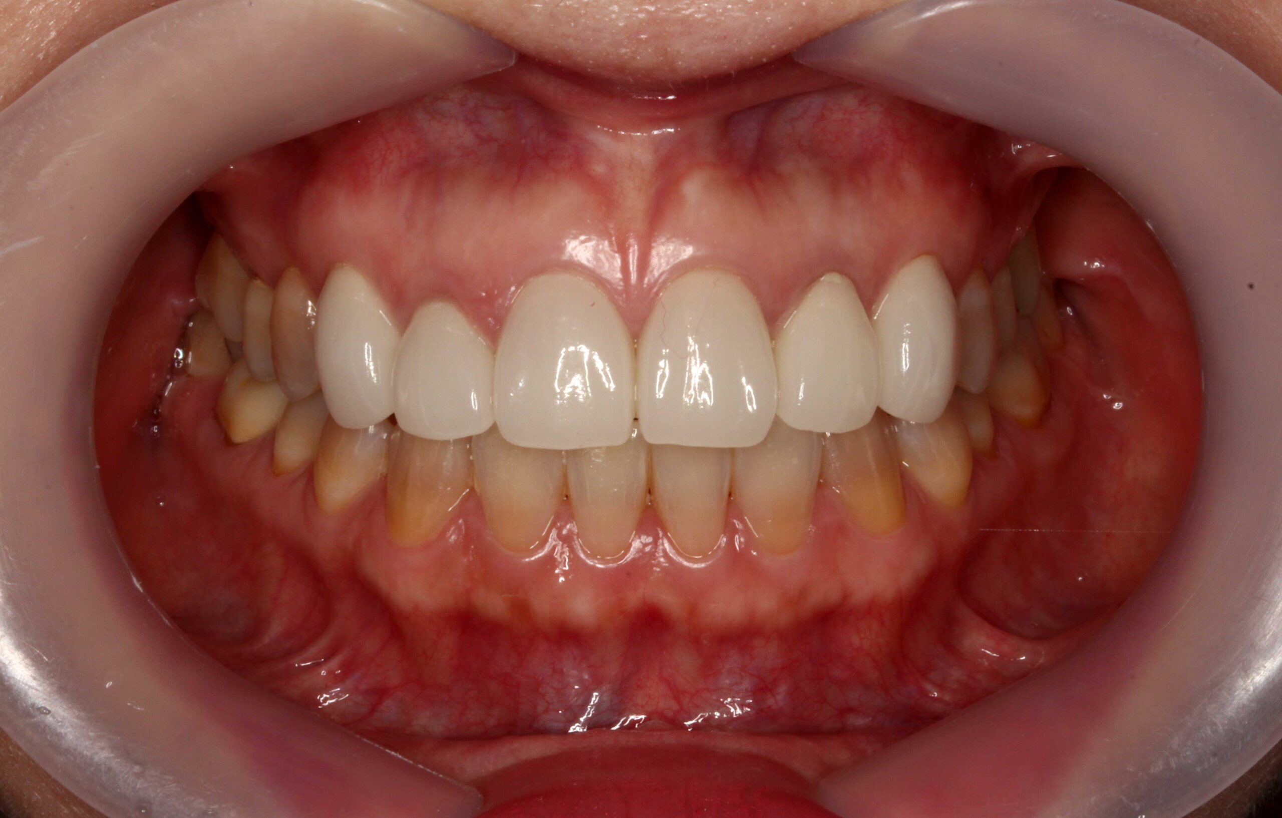
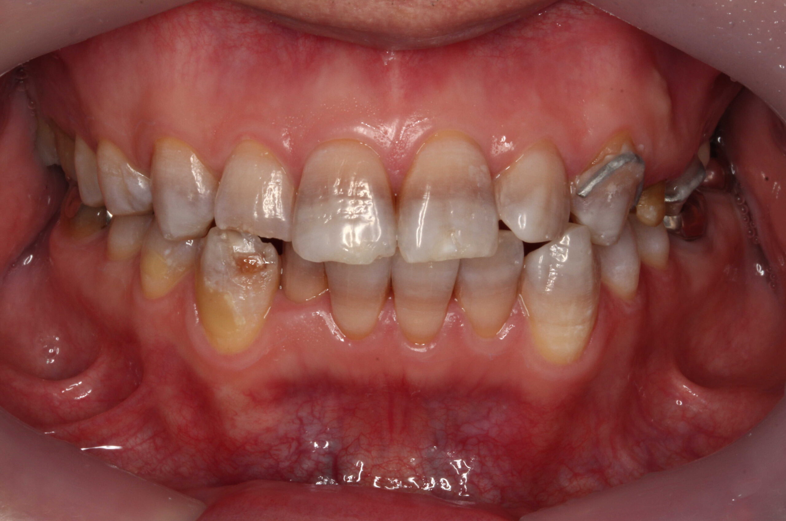
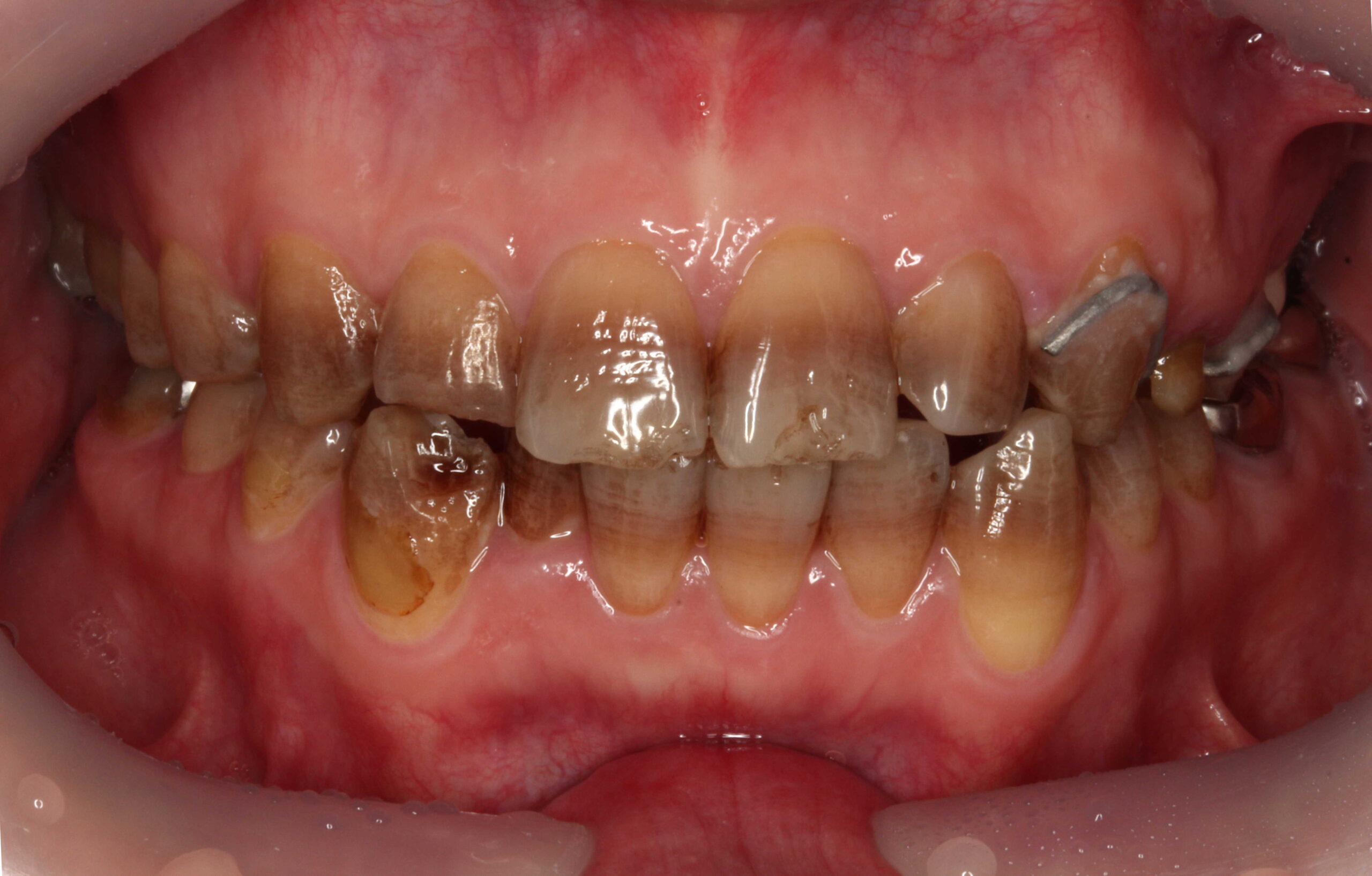
テトラサイクリン歯を他院でセラミッククラウンで被せていた事例

他院にてテトラサイクリン歯を上前歯6本のセラミッククラウンで被せてある症例です。

従来のクラウンの方法では支台になる歯の外周を大きく削ることになってしまいます。

当院でも以前はこのような方法で多くの審美歯科を行っていました。

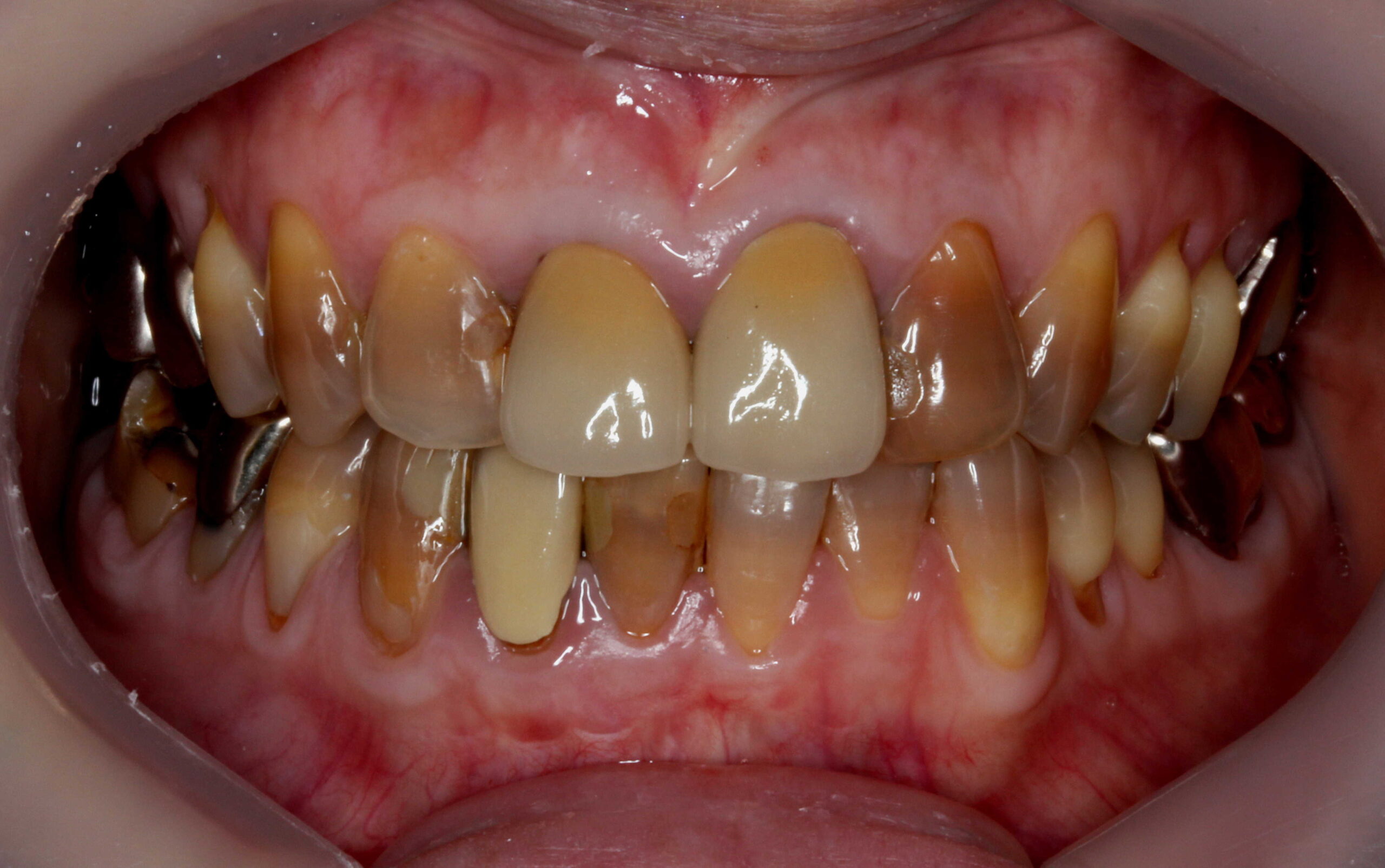
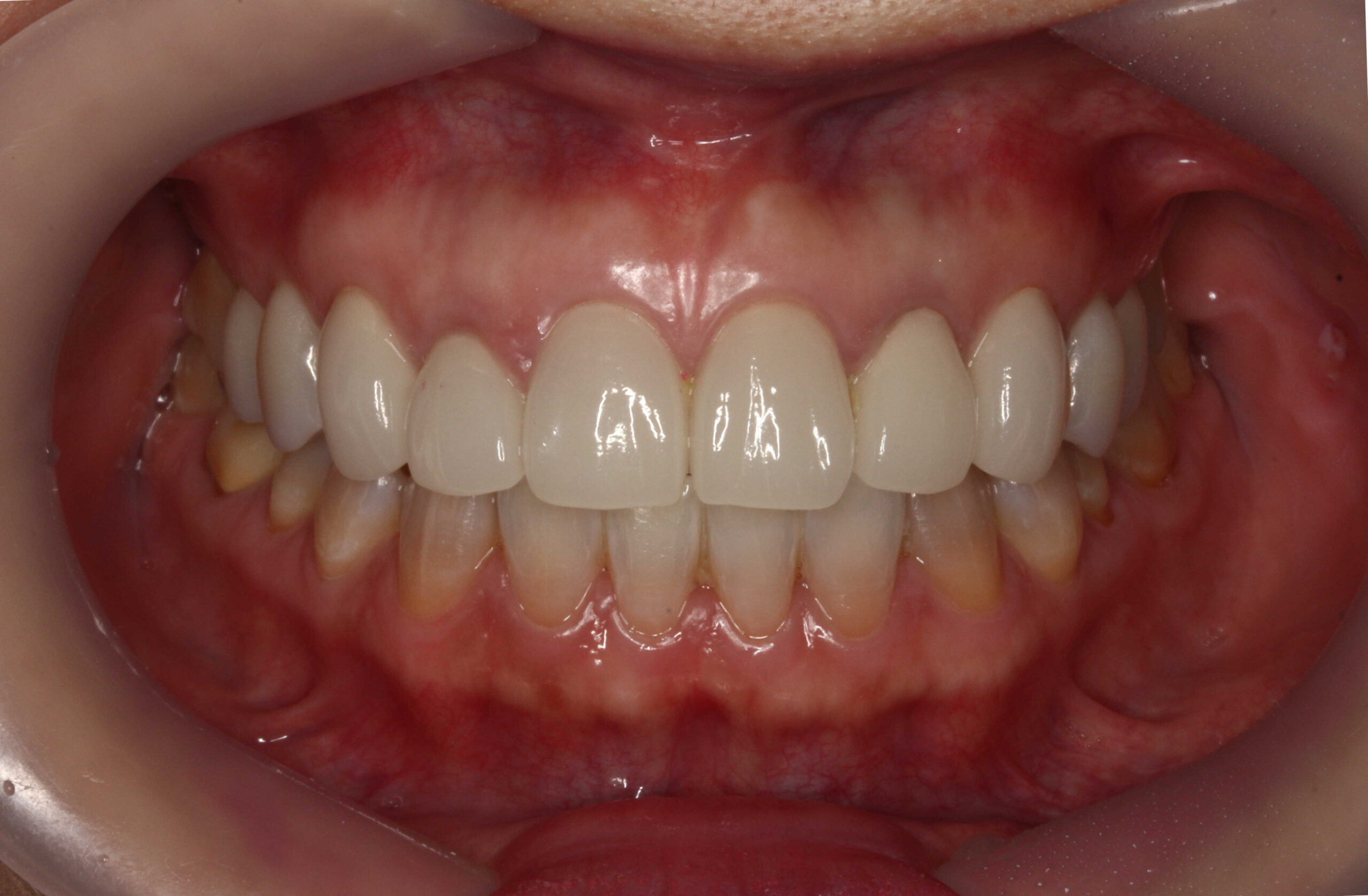
他院で前歯6本クラウン 当院で右上54、左上45に
削らないラミネートベニア

他院では前歯6本を削ってクラウンで治しています。

患者様は削らない方法で審美的に揃えたいということでご来院されました。

奥の右上54、左上45も削らずに前歯と審美的に揃えたいということで、当院で削らないラミネートベニアで治しました。

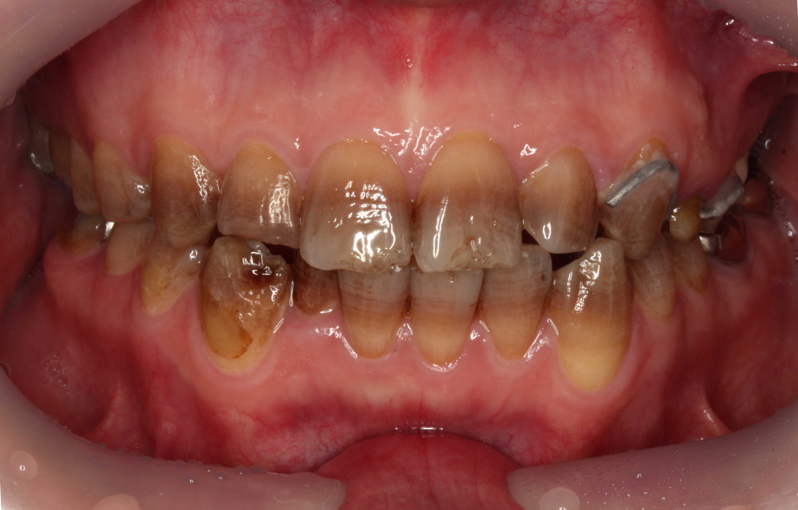
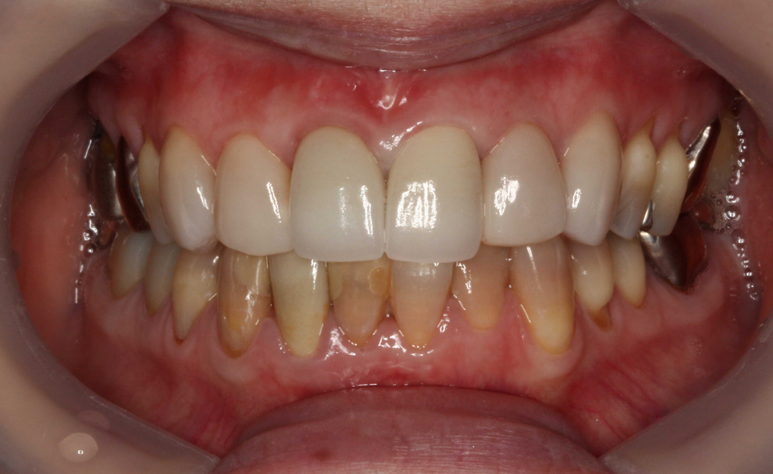
上下の色の差を改善するために下の前歯の希望されていましたが、咬み合わせで破折してしまうので下の前歯は削らないラミネートベニアを含むベニア治療ができません。

テトラサイクリン歯はホワイトニングがききで一定の効果を期待できるので、下の前歯には当院でホワイトニングをしました。

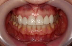
「削らないでキレイになって嬉しい!」と患者様にも喜んで頂けました。

歯をできるだけ削らない審美歯科を行いたいと考えています。

テトラサイクリン歯でホワイトニングをした事例

テトラサイクリン歯に対してもホワイトニングは一定の効果があります。

ホワイトニング前 ホワイトニング後

当院のホワイトニングは高品質で効果が高い製品なのですが、完全な白い歯にすることは難しいです。

ホワイトニング前 ホワイトニング後

削らないラミネートベニアは歯を削らないセラミックの審美歯科です。

なお、左上3は他院で治療中のため、歯のマニキュアのみ行っています。

削らないラミネートベニアは非常に薄いセラミックベニアです。

非常に透過性がある材料なので、元の歯(支台の歯)の色味が透けます。(透過性のないベニアも製作出来ますが、透明感がないので色味が白浮きして不自然になります。)

元々の歯をホワイトニングで白くキレイにした上で、透過性のあるベニアを貼るのが一番自然な仕上がりになります。

また、下の前歯は咬み合わせで破折してしまうので削らないラミネートベニアを含むベニア治療ができません。

なので、下の前歯にはホワイトニングが効果的です。

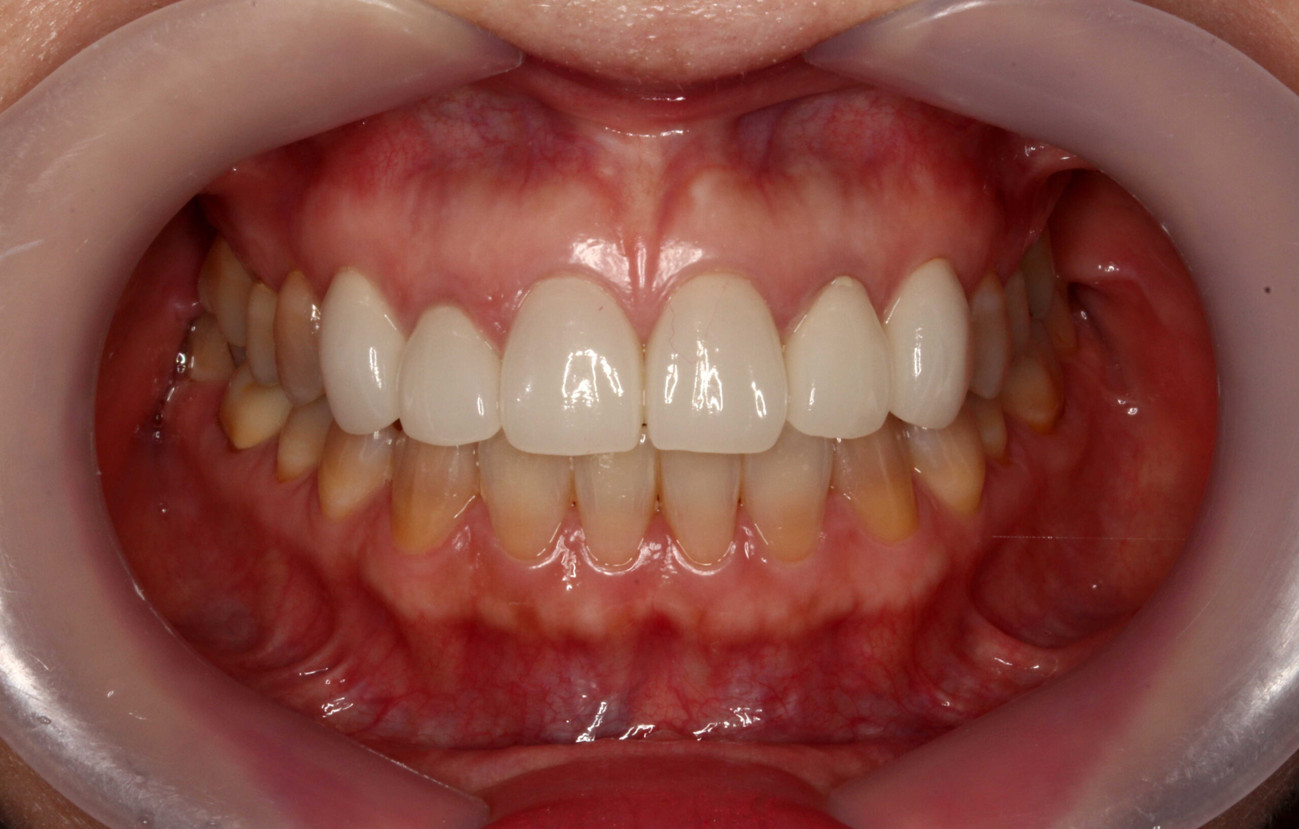
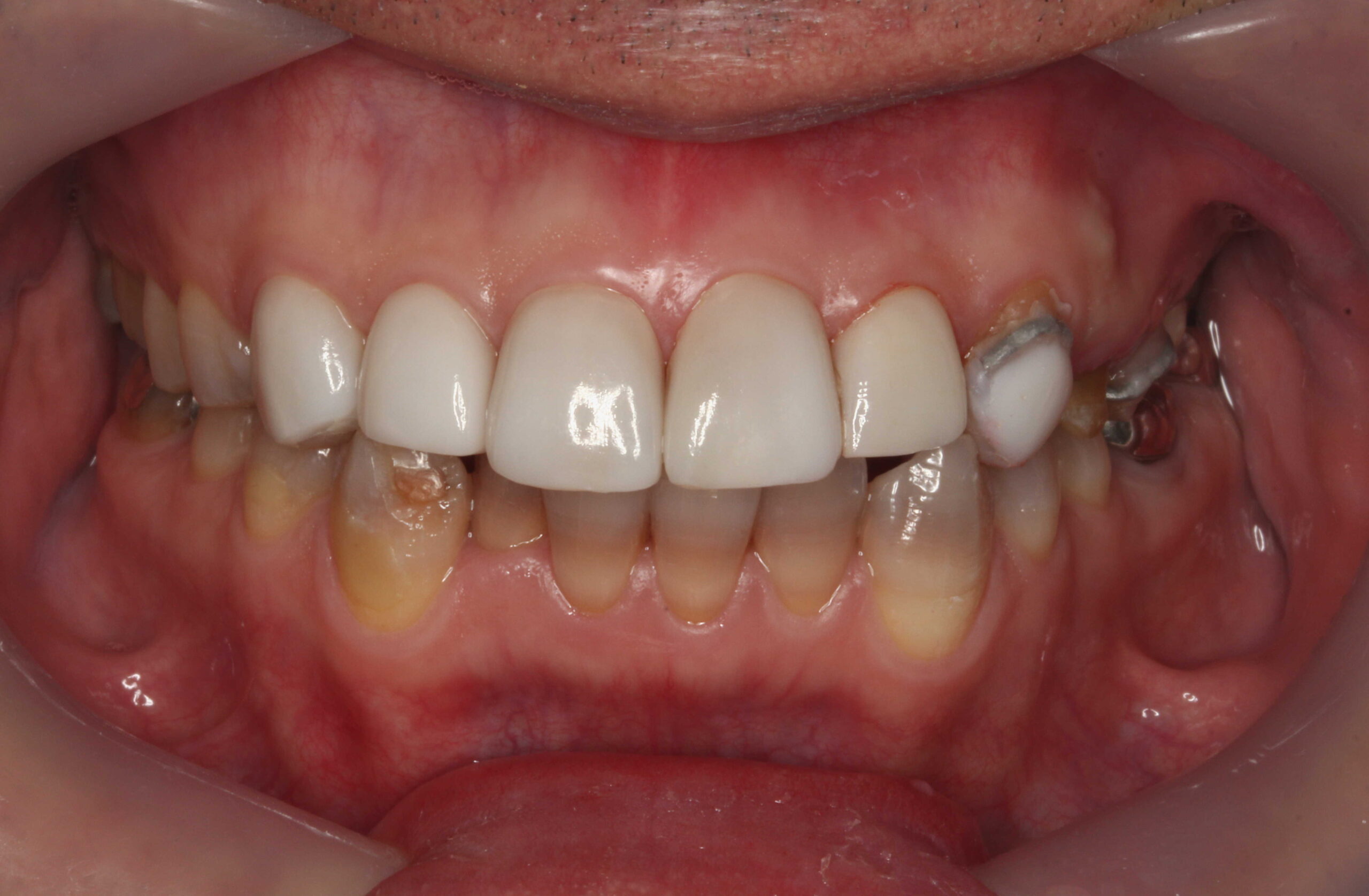
テトラサイクリン歯と失活歯と古いクラウンの症例

こちら、テトラサイクリン歯と失活歯と古いクラウンの症例となっております。

術前 削らないラミネートベニア4本
+クラウン2本

全体的にはホワイトニングを行っています。

テトラサイクリン歯 と 左上2や右下1などの失活歯 にもホワイトニング効果は出ています。

削らないラミネートベニアは極薄のセラミックベニアなので透明感があるので元の歯の色味が透けます。(透過性のないベニアも製作出来ますが、透明感がないので色味が白浮きして不自然になります。)

上の前歯(右上32と左上23) にも、削らないラミネートベニアの前にホワイトニングを行っています。

従来の方法であれば、上前歯6本をラミネートベニアやセラミッククラウンを行うために削って、セラミック材料を被せる方法で行っていました。

まとめ

削らないラミネートベニアは、体に優しい健康的な審美歯科です。

丸の内 帝劇デンタルクリニック では、より低侵襲で体に優しい、健康を犠牲にしないような審美歯科治療が望ましいと考えています。

審美歯科の選択肢として、ホワイトニングやクリーニング、矯正治療や削らないラミネートベニア(NonPrepVeneer)などの「歯をできるだけ削らない方法」で「健康的な方法」を提案すべきと考えています。

興味ある方はお気軽に丸の内 帝劇デンタルクリニックにご相談ください。

丸の内 帝劇デンタルクリニック
東京都千代田区丸の内3-1-1帝劇ビルB2F
TEL 03-5220-251