
ほとんどの方が一度は「歯をきれいにしたい」と思ったことがあるはず。
当院にも様々な歯の悩みをお持ちの方が毎日来院されます。
お悩みを解決するために欠かせない治療が審美治療(口の中を美しく健康的に治す治療)ですがその中でも今一番注目を集めているのが削らないセラミック審美の「削らないラミネートベニア」です。
簡単に言うと今までの健康な歯を削って被せたりしていた処置ではなく極力削らずに歯の上に極薄高強度のセラミックを貼り付けるというものです。
すごく画期的で良心的な治療ですよね。
私たちと同じように患者さんも魅力を感じてくださっているようで現在、お問い合わせやご予約を多数承っております。
歯のお悩みは色んなタイプがあると思いますが今回はその「削らないラミネートベニア」が特におすすめできるタイプを写真付きでまとめました。
あなたが今悩んでいるその歯も「削らないラミネートベニア」で解決できるかもしれません。
[column_setbtn_reserve]
[column_table_of_contents]
テトラサイクリン歯

テトラサイクリン系抗生物質によって色味が濃い方です。
ホワイトニング(歯の漂白・除菌)で白くしたり、色むらを目立たなくすることが可能です。
しかし効果が出にくい場合があるのでホワイトニングだけではご満足いただけない場合があります。
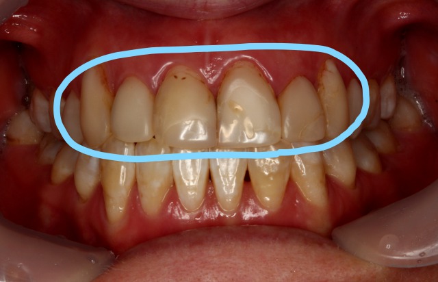
失活歯

虫歯治療などで神経をとった歯です。
もしくは神経がダメージを受けて(歯列矯正やボールがぶつかった、転んだ等)歯がグレーや黒っぱくなっている歯のことです。
ホワイトニングで周りの色に近づけることは可能ですが「確実に白くしたい」場合は削らないラミネートベニアなどが適用される場合もあります。
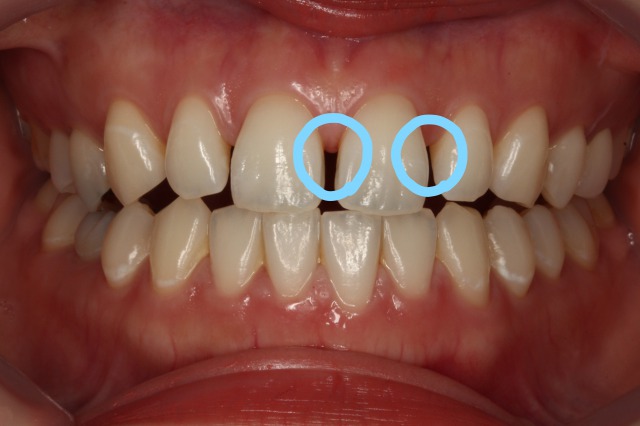
すきっ歯

歯と歯の間に隙間がある方。真ん中だけ隙間がある方です。
「実は気になっているけど歯並びがすごく悪いわけではないし矯正するほどではないかな…」と思っている方。削らないラミネートベニアは特にこのタイプを治すことを得意としています!
歯のマニキュア(ホワイトコート)を長年続けている

安価に1日で色を隠すことができる処置です。
爪に塗るマニキュアと原理は同じですがはがれやすい材料です。
初日は艶もありますが時間が経つにつれて濁った色になりやすく、材料の関係で歯肉炎を起こす場合もあるため長期間塗った状態はお勧めしておりません。
いずれは長期で持つ治療(ホワイトニング、削らないラミネートベニア等)にやり替えていくほうが美しく衛生的になります。
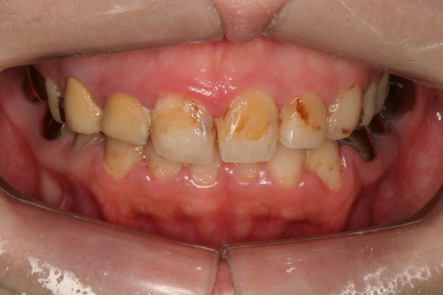
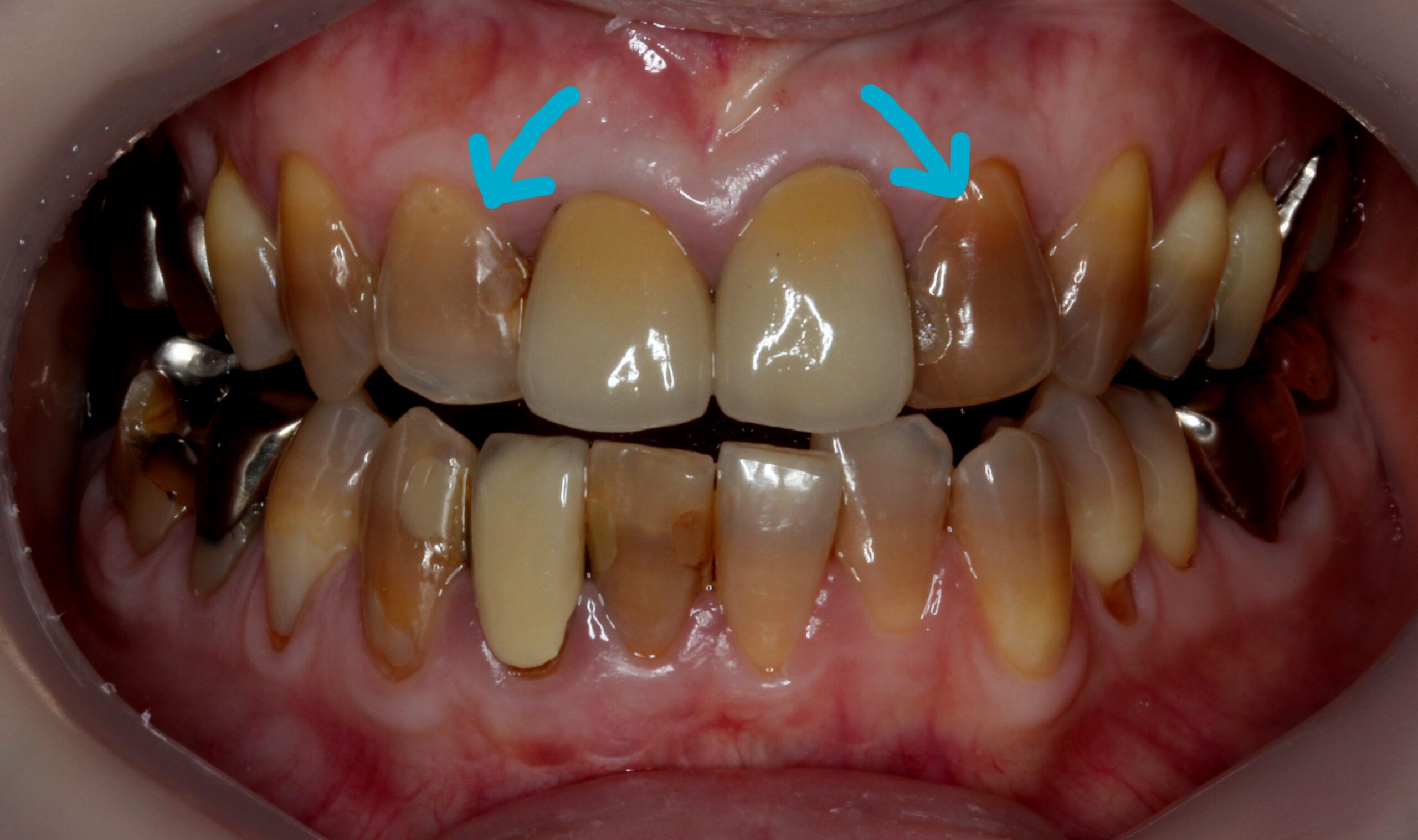
樹脂(プラスチック)のつぎはぎ

何回も樹脂の材料を足していると写真のようにつぎはぎが目立ってくる場合があります。
詰め物をすべて削ってやり替えても、数年後同じように劣化してきて目立つことが考えられます。

樹脂の材料は劣化しやすいので境目から着色(お茶渋など)して目立ってくることがあります。もしやり替えたとしても数年で同じように着色が目立ってきてしまいます。
まとめ
以上です。いかがだったでしょうか?
今回は特に、削らないラミネートベニアがおすすめできるタイプをまとめましたがもちろん、そのほかのお悩みでも削らないラミネートベニアは可能です。
当院は様々な選択肢の中から治療方法を選ぶことができます。
その選択肢の1つとして削らないラミネートベニアを取り入れております。
もし、削らないラミネートベニアが難しい場合でもほかの治療方法が提案できますのでぜひ丸の内帝劇デンタルクリニックにカウンセリングにいらしてください。
同じ歯のお悩みでも治療方法はひとつではありませんので
期間や費用、お体に合わせた治療方法を一緒に探しましょう✨
最後まで読んでいただきありがとうございました。
当院では歯科治療だけでなく、『歯をキレイにしたい方』との『コミュニケーション』を大切にしています。
丸の内 帝劇デンタルクリニック
東京都千代田区丸の内3-1-1帝劇ビルB2F
TEL 03-5220-251
[column_setbtn_reserve]