
こんにちは!東京の丸の内帝劇デンタルクリニックです。
今回は『ホワイトニング』という審美治療をご紹介します。
当院でホワイトニングする方の中に
『以前から興味はあったけどどんな処置かわからなくて言い出しにくかったんです…』
と言う方が何人もいらっしゃっいます。
こんなに素敵な処置なのに興味があってもできないのは勿体無い!!!
少しでもホワイトニングについて知ってもらえればと思い記載します。
最近ではとてもメジャーになってきたのでホワイトニングにご興味ある方はぜひ読んでみてください。
より詳しく知りたい方は、丸の内帝劇デンタルクリニックにぜひご来院ください。
[column_setbtn_reserve] [column_table_of_contents]
ホワイトニングをする理由とは?メリットについて解説

そもそもなぜホワイトニングをするの??と思われるかもしれませんが、
簡単に言うと歯の色を白く明るくするためです。
白い歯が与える印象は様々で女性なら華やかで明るい印象、男性なら爽やかで頼もしい印象を与えてくれます。
そして歯は年齢を重ねるとだんだんと歯の色が黄色くなる構造なので同世代の人よりも歯が白い=若く見える!という素晴らしい効果があります。
また、ホワイトニング薬剤には除菌効果も期待されているので歯に付着している細菌の数も減らすことができ衛生的です。
そしてなんと言ってもデメリットが少ないのがホワイトニングの魅力です。
歯を削ったり、傷付けたり、人工物を付けるわけではなく自分の歯の色だけ変化させるので安心です。
現在では歯のマニキュア(ホワイトコート)からホワイトニングへシフトチェンジされる方も多くいらっしゃいます。
剝がれたりやり替えの心配をしなくて済むのも魅力的ですよね。
ホワイトニングはしみない?
ホワイトニング期間、歯がしみる症状がでる方も中にはいらっしゃいます。
それは歯が弱くなる、脆くなるなどマイナスなことではなく色素を分解していく過程で一時的に刺激が出てしまうだけなので1日〜2日経つと症状はなくなります。
できるだけしみないように処置をする際は、精一杯配慮しておりますがこれに関しては個人差もあるので、、😭💦
ちなみに私もしみる症状が何回かありましたが我慢できない程度ではなかったです!
あとはホワイトニングをご希望されている患者様から
『芸能人の◯◯のような不自然な白さにはしたくないんですけど….』
と、よくご相談を受けます。
実はホワイトニングでは不自然な白さにはなりません!!
不自然で透明感のない白は(そのような色をご希望される方も多くいらっしゃいますが)
人工物でしか出せない色味ですのでホワイトニングでは自然な白さになります。
決して人工的な色味にはなりませんので安心してください😊
ホワイトニングの方法について
では具体的にホワイトニングってどんな方法があるのでしょうか??
使うお薬の種類などによって様々ですが丸の内帝劇デンタルクリニックではオフィスホワイトニングとホームホワイトニングを行っております。
オフィスホワイトニング
オフィスホワイトニングは、歯科医院でおこなうホワイトニングです。
回数は1回〜3回で行います。
効果としては、表面的に白くなる、ホワイトニングのスピードを上げる形になります。
ホームホワイトニング
自宅で寝ている間におこなうホワイトニングで、約3週間分のジェルをお渡しします。
効果として後戻りしにくい、色むらをなじませる形となります。
きちんと効果を得るためにはどちらか一方ではなく、オフィスとホームを併用することがポイントです٩(๑•̀ω•́๑)۶✨✨
ホワイトニング剤の種類がそれぞれ違うのでやはり効果の現れ方や色持ちも違ってきます。
どちらか一方だけでは思うような効果が出ない可能性があるので当院ではできれば併用をオススメしております。
併用するとホワイトニングが終了するまで約3週間です。
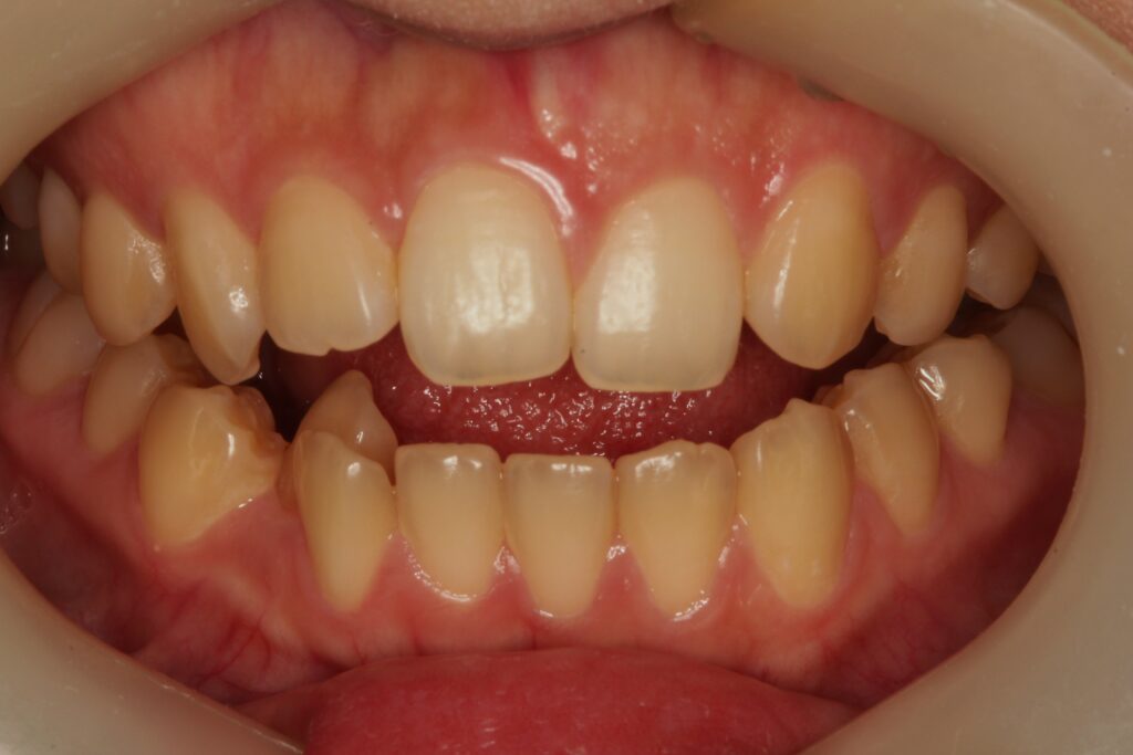
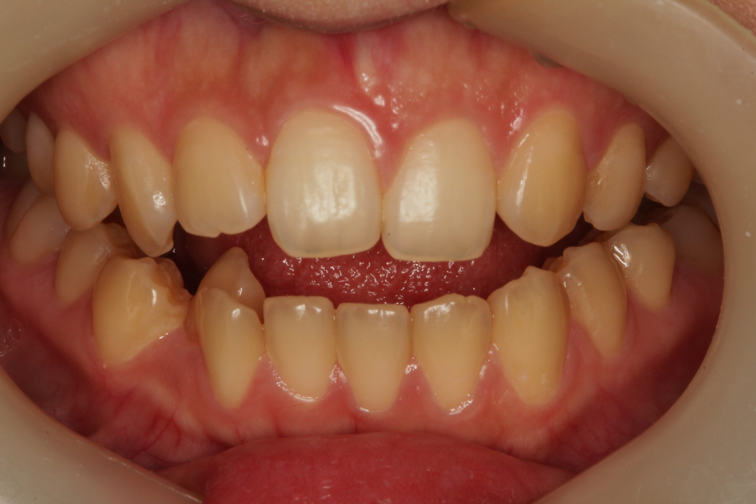
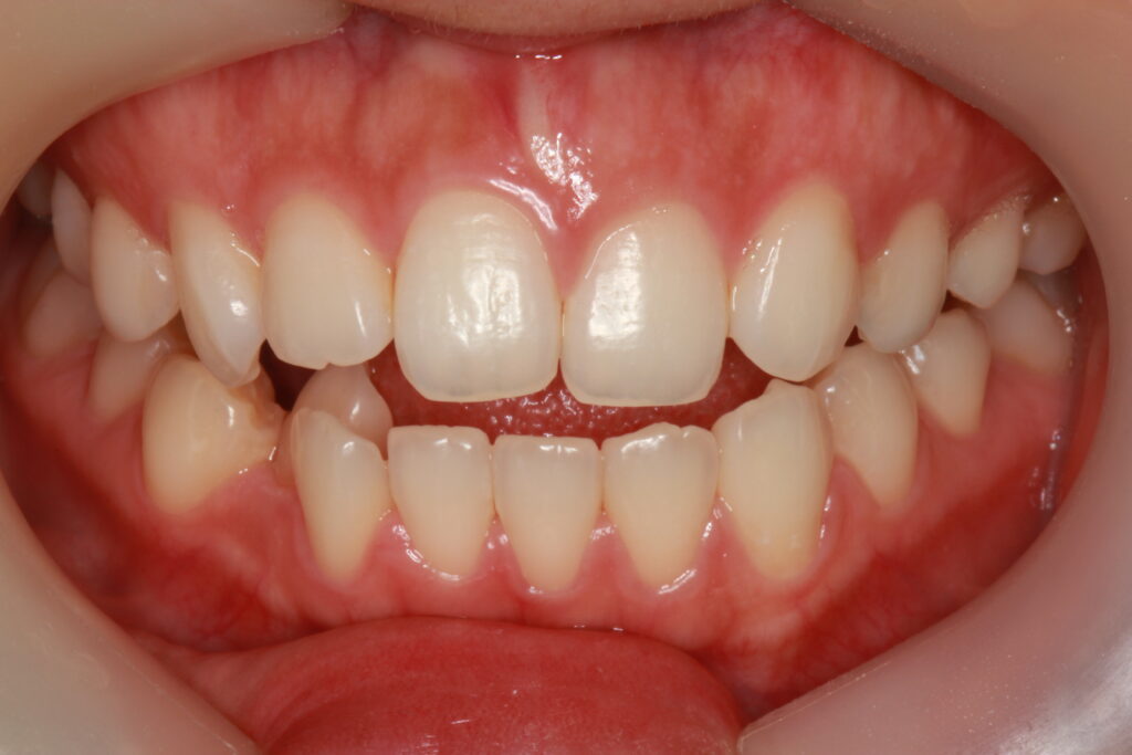
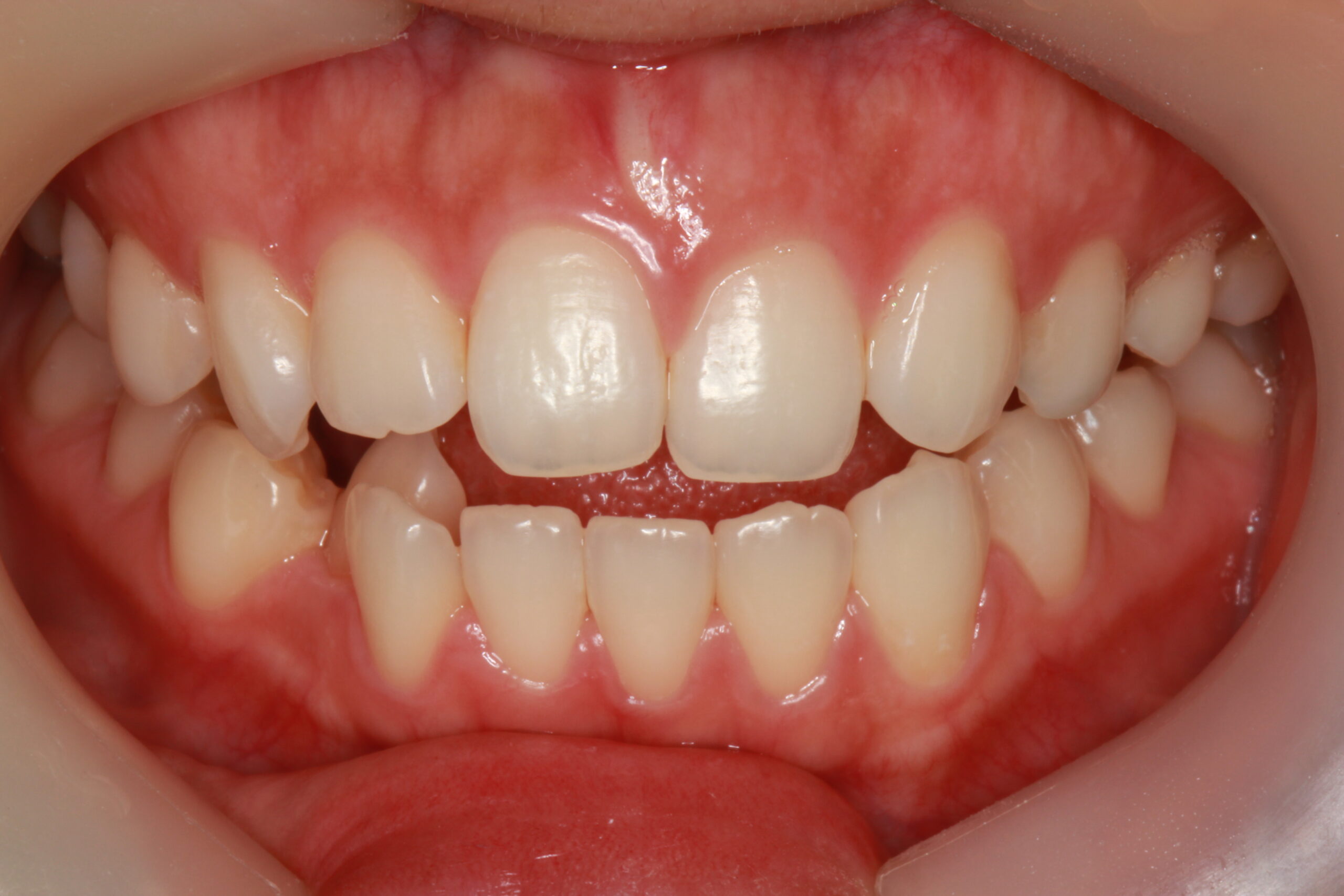
ホワイトニングの症例写真
当院での実際の患者様のホワイトニングのいかがでしょうか?
明らかに色が変わっているのがわかるかと思われます。
setメニューもご用意しているのでお気軽に聞いてください😊☆
ホワイトニングが維持できる期間
最後に…患者さんからの質問で最も多いのが
「ホワイトニング後、どのくらい白さがもつんですか?」
はい、これは難しいところなんですが決して元通りの黄色や茶色には戻りません。
しかし数年で後戻りがあるのは本当です。
個人差もあるので一概にどれくらいとは言えませんが。。。
ホワイトニングをきちんと最後まで行っていただければ3年、5年で多少の後戻りはあるものの、ある程度白さはキープできます!
私は半年くらいで見慣れてきてしまって黄色くなってきた???と思っていましたが実際に色を測ってみると全く変わっていませんでした(笑)
あれから2年ほど経っていますが今も変わらず白いままです✨✨
最後に
…というわけで、これでホワイトニングのお話は以上になります。
いかかでしたか?
なんとな〜くホワイトニングのこと知っていただけましたか??
「もっともっと詳しく知りたい😣」
という方はぜひ1度
丸の内帝劇デンタルクリニックにいらしてください!
歯科医師、歯科衛生士がご納得いただくまでカウンセリングいたします(`・ω・´)
どうぞお気軽にお問い合わせください。
それでは、最後まで読んでいただきありがとうございました☆
丸の内 帝劇デンタルクリニック
東京都千代田区丸の内3-1-1帝劇ビルB2F
TEL 03-5220-2511
[column_setbtn_reserve]


