ガミースマイルは歯が小さいから?原因と治し方を解説

Column

ガミースマイルは歯が小さいから?原因と治し方を解説

ガミースマイルに悩まれている方は少なくありません。原因はさまざまありますが、歯が小さいこともガミースマイルの要因のひとつです。

この記事では、ガミースマイルの主な原因や歯が小さい時の治し方、また、ガミースマイルを治療した症例も紹介します。

5DENTAL東京銀座では、口元の美しさを最大限に引き出すために、審美歯科に力を入れています。

時間をかけた丁寧なカウンセリングを心掛けていますので、気になる方は一度ご相談ください。

[column_setbtn_reserve]

[column_table_of_contents]

ガミースマイルの原因のひとつは歯が小さいこと

ガミースマイルの原因はいくつかありますが、歯が小さいことや短いことも原因のひとつとして挙げられます。

ガミースマイルとは、笑った時に歯肉(歯茎)が過剰に見える口元のことです。

歯が小さいと、歯肉の範囲が大きく見えてしまいます。特に、笑った時に上の前歯がほとんど見えない場合は、歯肉が目立ちやすくなります。

歯が小さいこと以外のガミースマイルの原因を解説

ガミースマイルの原因は歯が小さいこと以外にもいくつかあります。

ガミースマイルの要因は大きく分けて二つに分類され、唇や歯肉の軟組織と、歯や骨などの硬組織が原因の場合に分けられます。

以下で、ガミースマイルの代表的な原因を解説します。

参考:傳法 昌広 ガミースマイルコレクション−ガミースマイルの分類と分類別による治療法−【AD2021 年 2021 巻 31 号】

上あごの骨が縦に長かったり突き出たりしている

上顎の骨が縦に長く成長すると、笑った時に歯肉が多く見え、ガミースマイルが起こりやすくなります。特に、上顎の骨と歯の位置の間の距離が長くなる場合です。

また、上顎の骨が唇の方向に突き出ている「出っ歯」もガミースマイルの原因になります。

上顎の前歯が唇の外側に位置すると、笑った時に上唇が必然的に上がり、歯肉が見えてしまうのです。

上唇を引き上げる上唇挙筋が強い

ガミースマイルの原因のひとつとして、上唇を引き上げる筋肉である上唇挙筋の力が強いことが挙げられます。

上唇挙筋は、鼻の下の骨と上唇をつなぐ筋肉です。この筋肉が強すぎると、笑った時に上唇が大きく上がりすぎて、歯肉が露出しやすくなります

上唇が薄い

上唇が薄いと、笑った時に歯肉が大きく見えてしまいがちです。そのため、ガミースマイルの原因のひとつになります。

唇の縦幅は加齢に伴い減少傾向です。

いつのまにかガミースマイルになっていることもあります。

歯が小さい時のガミースマイルの治し方

ガミースマイルには、いくつかの原因があることを紹介してきました。

ガミースマイルを克服するための治し方は、原因によって異なります。

ここでは、小さい歯が原因のガミースマイルの治療方法について解説します。

小さい歯が原因のガミースマイルは歯肉整形で改善

小さい歯が原因のガミースマイルは「歯肉整形」で改善できます。

歯肉整形とは、余分な歯肉を切除して歯と歯肉のバランスを整える処置です。ガミースマイルだけでなく、歯周病の治療や歯ぐきの形を整えるような時に有効です。

歯肉整形だけだと数年後に後戻りが起こる場合もあるため、ラミネートベニアやセラミッククラウンを併用することが推奨されています。健康な歯肉は再生能力が高いからです。

ラミネートベニアとは、歯の表面に薄いセラミック製の板を貼り付ける治療法を指し、セラミッククラウンとは、歯全体にセラミックの被せものをする治療法を指します。

ラミネートベニアもセラミッククラウンも歯肉の再生をせき止める役割があるため、きれいな口元を保つには、歯肉整形と併用がおすすめです。

5DENTAL東京銀座の歯肉整形の流れ

5DENTAL東京銀座の歯肉整形の流れは、以下のとおりです。

  1. 患者様の希望や症状を詳しく伺い、歯や顔の写真から歯肉整形の治療範囲やどのような形にするかを決めていきます。口内の歯石や汚れは先にきれいにしておきます。
  2. 局所麻酔をして歯肉整形を行います。歯肉切除をすると、傷が治ると同時に後戻りがあるため、少し大きめに取り除きます。
  3. 歯肉整形後約2〜3週間で安定します。ラミネートベニアと併用する場合、歯肉整形後2〜4週間以上経ってから型取りをする流れです。

痛みは歯肉を切除した直後に出る方もいます。

当院の治療は、比較的軽度なガミースマイルが対象です。

そのため、口腔外科や美容外科で取り扱っている骨切り手術(Le Fort手術)や口唇粘膜を切開縫合する手術などには対応していません。

5DENTAL東京銀座の料金

【5DENTAL東京銀座の料金表】

種類 歯1本の料金(税込)
歯肉整形 11,000円
ラミネートベニア ノーマルベニアe.max 66,000円
ノーマルベニアZr 71,500円
ノーマルベニアHybrid 44,000円

5DENTAL東京銀座では、歯肉整形を歯1本からの料金で設定しています。

「上顎でいくら?」といった料金設定ではないため、無駄なく治療が可能です。

また、当院で扱っているラミネートベニアは、透明度が高く歯に馴染みやすい「e max」、強度が非常に高い「Zr(ジルコニア)」、レジン系材料の「Hybrid(ハイブリッド)」など、種類豊富に取り揃えています。

料金もラミネートベニアの平均相場である歯1本10万〜18万円より、安価な料金設定です。

ご自身の歯にどの素材が適切か、しっかり相談に乗りますのでご安心ください。

ガミースマイルをラミネートベニアで治療した5DENTAL東京銀座の症例

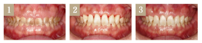
5DENTAL東京銀座で治療した、ガミースマイルの症例をひとつ紹介します。

【治療前】

治療前の写真から分かるように、ガミースマイルだけでなく、歯の大きさが左右非対称だったり、すきっ歯があったりと気になるところがいくつかあります。

【治療後】

歯肉整形と削らないラミネートベニアできれいな口元になりました。

「削らない」ラミネートベニアとは、通常歯を少し削ってからラミネートベニアを貼り付けるところ、一切削ることなく、歯の健康を一番に考えた治療法です。当院では積極的に採用しています。

上前歯8本を削らないラミネートベニアで対応し、歯が小さい箇所やすきっ歯の部分などを改善しました。

歯列が左右対称にバランスよく整ったことで、笑顔の魅力が増した症例です。

歯が小さくガミースマイルで悩んでいるなら5DENTAL東京銀座へ

笑った時に歯肉が過剰に見えるガミースマイルには原因がいくつかありますが、歯の小ささも原因のひとつです。

歯が小さいと、歯肉の範囲が大きく見えてしまうため、歯肉整形とラミネートベニアの併用などで改善ができます

5DENTAL東京銀座では、数多くのガミースマイルの治療に携わってきました。

セラミッククラウンやラミネートべニアだけでなく、総合的な審美歯科を提供しています。

歯肉整形やラミネートベニアなど、最適な治療を提案しますので一度ご相談ください。

[column_setbtn_reserve]

 

ガミースマイル専門ページはこちら