
ラミネートベニアは、歯の見た目を美しくするための審美歯科治療ですが、すべての歯に適応できるわけではありません。
従来の削って被せるセラミッククラウンに比べると適応範囲が限定されます。
この記事では、ラミネートベニアが適応できない歯の特徴や、その場合の対策について詳しく解説します。
丸の内帝劇デンタルクリニックでは、ラミネートベニアを中心に数多くの審美歯科治療を提供してきました。
難しい症例でも経験豊富な治療実績をもとに、納得のいくご提案をさせていただきます。お気軽にご相談ください。
[column_setbtn_reserve]
[column_table_of_contents]
ラミネートベニアができない歯の特徴

ラミネートベニアは、薄いセラミックを歯の表面に貼り付けることで美しい笑顔を実現する治療法です。
しかし、適応できないケースも中には存在します。
ここでは、ラミネートベニアができない歯の特徴について解説します。
ラミネートベニアが不自然に見える重度の叢生や出っ歯
重度の叢生や出っ歯は、ラミネートベニアを装着すると歯のボリュームが増してしまい、不自然に見えるおそれがあります。
叢生とは、歯がガタガタに生えている状態を指し、見た目や咬み合わせに影響を与えます。
このような状態でラミネートベニアを装着すると、歯の形状や大きさがさらに強調され、不均衡な見た目になる場合が多いです。
削って被せるセラミッククラウンに比べると、ラミネートべニアは歯並びを少ししか改善できません。歯の形は改善できますが、歯並びはほとんど改善できません。
装着の難しい歯並びや咬み合わせの悪い歯
歯並びや咬み合わせの悪い歯は、特定の歯に負担がかかりやすいです。
そのため、ラミネートベニアが破損したり、接着部分が剥がれたりしてしまい、装着が難しくなります。
ラミネートベニアの接着剤の強度は年々向上していますが、脱離するリスクを避けるためにもおすすめできません。
歯周病や虫歯がある健康状態の悪い歯
歯周病や虫歯がある場合、ラミネートベニアの装着は適していません。
ラミネートベニアを装着するよりも、歯肉炎や歯周病の治療を優先する必要があります。
健康な歯に施されたラミネートベニアは、見た目も美しく長期間にわたってその効果を発揮します。
まずは歯周病や虫歯の治療をしてから、ラミネートベニアを検討しましょう。
すぐ取れる・破損するリスクのある奥歯や下の歯
ラミネートベニアは、咬合力が比較的少ない上の前歯に最適な治療法ですが、奥歯や下の歯には推奨されていません。
なぜなら、奥歯や下の前歯は噛む力が強く働くため、取れたり破損したりする可能性があるからです。
ラミネートベニアが取れてしまう原因については、こちらの記事でさらに詳しく解説しています。
[bcard url="https://5dental.move-q.link/column/1048-2/%22]
強い噛みしめや歯ぎしりの習慣がある人
噛みしめや歯ぎしりは、大きな力が歯に加わります。
そのため、ラミネートベニアがその負荷に耐えられず、破損したり脱離したりする可能性が高くなります。
ラミネートベニアが適応できない歯の代替案を解説

ラミネートベニアができない歯に対しては、代替の治療法を検討することも大切です。
ここでは、ラミネートベニアが適応できない歯に対する治療法について解説します。
いくつかの治療法を理解することで、最適な選択ができるでしょう。
歯並びの悪さや咬み合わせの悪さは歯列矯正
重度の歯並びの悪さや咬み合わせの悪さは、まずは歯列矯正をおすすめします。
歯列矯正で歯並びや咬み合わせを整えた後、ラミネートベニアが可能になるケースが多くあるからです。
歯列矯正は、ブラケットやマウスピースなどの矯正装置を用いて、歯を理想的な位置に移動させる治療法です。
時間はかかりますが、歯列矯正とラミネートベニアを併用することでより理想的な口元を実現できます。
奥歯や下の歯にはセラミッククラウン
セラミッククラウンは歯全体を覆うため、咬む力の強い奥歯の治療にも適応します。
また、ラミネートベニアはとても薄いためは色味の調整が難しく、貼り付けると厚みが出るため、1本や2本のように少ない本数での治療にはあまり向いていません。
しかし、セラミッククラウンは1本からでも治療が可能です。
丸の内帝劇デンタルクリニックの削らないラミネートベニアの症例
ラミネートベニアは、歯の表面を少し削り、薄いセラミックを貼り付ける治療が一般的です。
しかし、丸の内帝劇デンタルクリニックでは、新しい技術で歯を削らないラミネートベニアを提供しています。
歯を削ることに抵抗がある方や、ダメージの少ない方法をご希望の方には最適な方法です。
ここでは丸の内帝劇デンタルクリニックで治療した「削らない」ラミネートベニアの症例を紹介します。
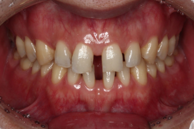
【治療前】

こちらの患者様は、上の前歯中央に大きく空いたすき間(正中離開)と、歯のすり減りや欠けた状態が気になり来院されました。
歯のすき間の幅が大きかったため、ラミネートベニアだけでは対応できず、まずはインビザラインというマウスピース矯正からはじめました。
インビザラインは、専用の透明なマウスピースを交換しながら、徐々に歯を移動していきます。
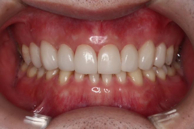
【治療後】

インビザラインによりすき間が狭くなり、安定したところで削らないラミネートベニアを施しました。
治療前は正中離開が目立っていましたが、歯列矯正と削らないラミネートベニアによる健康的な治療法で、きれいに歯並びが整った症例です。
ラミネートベニアだけでは、理想の歯並びや歯の白さにすることは難しかったでしょう。
歯列矯正を併用することで、見た目にも自然で、きれいな口元になりました。
ラミネートベニアの症例についてもっと知りたい方はこちらの記事もご覧ください。
[bcard url="https://5dental.move-q.link/column/1024-2/%22]
ラミネートベニアができない歯?気になる人は経験豊富な丸の内帝劇デンタルクリニックへ
ラミネートベニアはすべての歯に適応できるわけではありません。
重度の叢生や出っ歯のように歯並びの悪い歯や、奥歯・下の歯、健康状態の悪い歯など、歯の状態や位置によっては適応外になる場合があります。
このような場合は、歯列矯正やセラミッククラウン、ホワイトニングなどの代替治療法もあります。併用した上で、ラミネートベニアを装着することも可能です。
丸の内帝劇デンタルクリニックでは、ラミネートベニアをはじめとした審美歯科治療で、患者様のお悩みを改善してきました。
当院では、経験豊富な知識を生かし、ラミネートベニアやその他の治療法から最適な治療法を提案できます。
ご自身がラミネートベニアが適応できる歯か気になる場合は、ぜひ一度ご相談ください。
[column_setbtn_reserve]