ラミネートベニアですきっ歯の改善が可能!治療の流れと実際の症例を紹介

Column

ラミネートベニアですきっ歯の改善が可能!治療の流れと実際の症例を紹介

歯と歯の間に隙間ができる「すきっ歯」にお悩みの方は少なくありません。

しかし、「どんな治療法がいいのかわからない」と悩んでいる方も多いのではないでしょうか。

すきっ歯の改善には、ラミネートベニア治療がおすすめです。

この記事では、すきっ歯にラミネートベニアが効果的な理由や、詳しい治療の流れについて解説します。

丸の内帝劇デンタルクリニックでは、歯を削らない新しい方法のラミネートベニアを提供しており、歯の健康を守りながらすきっ歯の改善が可能です。

すきっ歯を改善したいとお考えの方は、ぜひ当院へお問い合わせください。

[column_setbtn_reserve]

[column_table_of_contents]

すきっ歯とは

すきっ歯とは、歯と歯の間に隙間がある状態を指し、歯科用語では「空隙歯列(くうげきしれつ)」と呼ばれます。

特に上の前歯の間に隙間がある場合は「正中離開(せいちゅうりかい)」と呼ばれます。

正中離開の原因としては、以下のようなものが考えられます。

  • 矮小歯
    ‥歯の幅が通常より小さいため、歯と歯の間に隙間ができやすくなる
  • 上唇小帯付着異常
    ‥上唇の裏側と歯茎をつなぐ筋(上唇小帯)の付着位置や形状が異常であるため、歯と歯の間に隙間が生じることがある
  • 先天欠如
    ‥生まれつき歯の本数が足りないことが原因で隙間ができることがあり、特に側切歯が欠如するケースがある
  • 正中過剰歯
    ‥正中線上に過剰な歯が生えることがあり、これによって前歯が正常に並ぶことができず、隙間が生じる
  • 習癖
    ‥爪かじりなどの癖が原因で、歯と歯の間に隙間ができる

すきっ歯は、笑ったときに隙間が黒く見えるため、非常に目立ちやすいです。

特に正中離開は、他人の視線が集中しやすい場所にあるため、コンプレックスに感じる方も少なくありません。

ラミネートベニアがすきっ歯に効果的な理由

すきっ歯の治療にはラミネートベニアが非常に効果的です。

ラミネートベニアは、セラミックで作られた薄いベニアを歯に接着することで、歯の形や大きさを改善する治療法で、歯の隙間を自然に埋めることができます。

特に、上の前歯の間に隙間がある正中離開の改善にも有効です。

正中離開を治療するには、元の歯の幅よりも少し広くし、隣の歯としっかり接するようにラミネートベニアを装着します。

これにより隙間がなくなり、自然で整った歯並びが実現されます。

この治療法は比較的短期間で結果が得られ、最短で約2〜3回の治療で改善が期待できます。

ラミネートベニアの治療手順

具体的なラミネートベニアの治療の流れは以下の通りです。

<1回目の治療~歯肉整形~>

丸の内帝劇デンタルクリニックでは、すきっ歯のラミネートベニア治療の際に歯肉整形を行います。

歯肉整形により歯の縦の長さ、横幅、形を調整します。

<2回目の治療~印象(型取り)・ラミネートベニアの色の決定>

歯の形を正確に再現するために、印象(型取り)を行います。

この型を基にして、患者様の歯にぴったり合うラミネートベニアを作成します。

次に、歯の色を決定します。

ラミネートベニアは自然な色味から真っ白な色まで細かい色の調整が可能で、お好みに合わせて選択できます。

<3回目の治療~接着~>

3回目の治療では、作成したラミネートベニアを歯に接着します。ベニアは特殊な接着剤を用いてしっかりと歯に固定されます。

すきっ歯の治療は、単に歯の隙間を埋めるだけではなく、口腔全体のバランスを考慮する必要があります

歯並びだけでなく、咬み合わせ、歯茎の状態、顎の位置、さらには口周りの筋肉とのバランスなど、様々な角度から診断を行うことが重要です。

ラミネートベニアによるすきっ歯の改善例

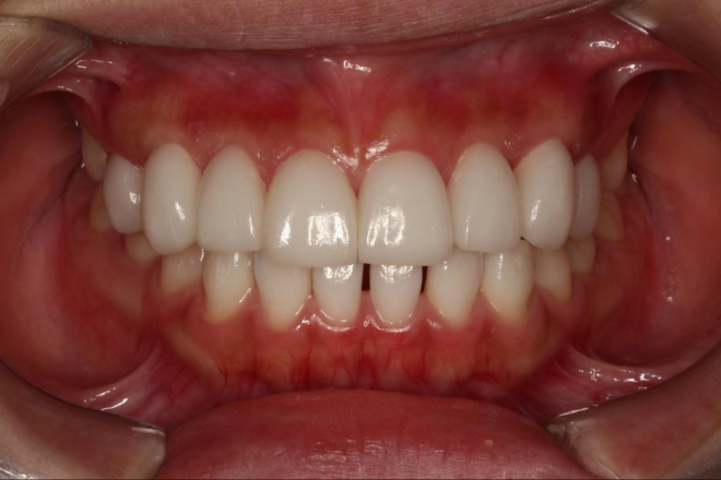
丸の内帝劇デンタルクリニックでラミネートベニアによってすきっ歯を改善した症例をご紹介します。

こちらの患者様は、上の前歯の間に隙間ができており、その隙間が非常に目立つ状態でした。

このため、笑ったときや話をするときなど、口を開けた際に空間が強調されてしまい、審美的な問題を引き起こしています。

この問題に対して、当院では歯肉整形とラミネートベニア治療を行いました。

治療前には目立っていた上の前歯の隙間が、治療後には綺麗に埋められ、歯が均等に整列しています。

また、歯肉整形を併せて行うことで、歯肉のラインや歯の形や大きさも均一に整えられ、全体的にバランスの取れた美しい口元が実現しました。

すきっ歯の場合でもラミネートベニアが難しい事例

すきっ歯の改善にはラミネートベニアでの治療が有効ですが、中にはラミネートベニアが適さないケースもあります。

以下で、ラミネートベニアが難しい事例について詳しく解説します。

歯と歯の隙間が4mm以上ある

すきっ歯であっても、歯と歯の隙間が4mm以上あると、ラミネートベニアでの治療が難しいことがあります。

隙間が大きいと、接着したベニアに過剰な噛み合わせの力がかかりやすくなります

これにより、セラミックがたわんだり歪んだりして、外れたり割れたりするリスクが高まります。

そのため、すきっ歯の隙間が広い場合はセラミッククラウンでの治療がおすすめです。

セラミッククラウンは、歯を削って土台を作り、その上にセラミックを被せる治療法です。

ラミネートベニアと比べて歯を大きく削る必要がありますが、噛み合わせの力を分散させ、歯に過度な負担をかけることなく、隙間を効果的に改善できます。

歯周病

歯の隙間をラミネートベニアで埋めたとしても、歯肉の状態が悪いと、再び歯が移動して隙間が生じたり、慢性的な炎症を起こすおそれがあります。

そのため、まず先に歯周病の治療を行い、歯肉の健康を回復させてからラミネートベニアの治療を受けることが重要です。

特に、以前にはなかったのに突然歯と歯の隙間が気になり始めた場合は、歯周病が進行しているかもしれません。

まずは歯科医師による詳しい診断を受け、必要な歯周病治療などを開始することをおすすめします。

まとめ

すきっ歯の改善には、ラミネートベニアでの治療が非常に効果的です。

丸の内帝劇デンタルクリニックでは、歯を削らない新しい方法のラミネートベニアを提供しており、この分野で豊富な症例数を誇っています。

丸の内帝劇デンタルクリニックでは、削らないラミネートベニアの豊富な知識と経験によって、患者様一人一人に最適な治療法を診断いたします。

これにより、患者様は自然で美しい笑顔を取り戻すことができます。

すきっ歯でお困りの方は、ぜひ丸の内帝劇デンタルクリニックへご相談ください。

[column_setbtn_reserve]