
ホワイトスポットとは、歯の表面に見られる白い斑点のことです。
前歯にホワイトスポットがあると、審美的な観点から気になる方も多いでしょう。
ホワイトスポットの改善には、ラミネートベニア治療が効果的な選択肢の一つです。
この記事では、ラミネートベニアがホワイトスポットの改善に有効な理由について解説します。
丸の内帝劇デンタルクリニックでは、歯を削らない新しい方法のラミネートベニア治療を提供しています。
ホワイトスポットの改善をお考えの方は、ぜひ丸の内帝劇デンタルクリニックにご相談ください。
[column_setbtn_reserve]
[column_table_of_contents]
ホワイトスポットとは
ホワイトスポットは、歯の表面に現れる白い斑点のことを指します。
ホワイトスポットの原因には、初期の虫歯によるものもありますが、多くの場合はエナメル質形成不全や矯正治療時の接着痕によるものです。
虫歯が原因であれば早期発見・早期治療が重要ですが、他の2つの原因によるホワイトスポットは必ずしも健康上の問題を引き起こすわけではありません。
しかし、特に前歯に生じたホワイトスポットは目立ちやすく、審美的な観点から気にする方が多くなっています。
その結果、笑顔に自信が持てなくなったり、人と話すときに気になったりする方もいます。
ホワイトスポットにラミネートベニアが有効な理由

ラミネートベニアは、極薄のセラミック製ベニアを歯の表面に接着して歯の色や形を改善する治療法です。
歯の表面につけ爪のように装着されるため、ホワイトスポットを含む歯の変色を自然な色調で覆うことができます。
また、ラミネートベニアはセラミック製のため、プラスチックなどの素材と比べて汚れが付きにくく、清潔さを保ちやすいという利点があります。
特に広範囲に広がるホワイトスポットに対して、ラミネートベニアは効果的な選択肢となります。
ホワイトスポット治療の他の選択肢

ホワイトスポットを改善するには、ラミネートベニア以外にもさまざまな治療法があります。
それぞれの方法には適応症状、メリット、デメリットがあります。
以下で、ホワイトスポットの主な治療法について詳しく解説します
ホワイトニング
ホワイトスポットが白く目立ってしまうケースで、ホワイトニングが有効なことがあります。
歯の全体が白くなることで、ホワイトスポットの白さが周りと調和して目立ちにくくなります。
Miペースト
Miペーストは、患者様がご自身で使用する口腔ケア製品です。
この製品は、歯磨きの後に歯全体に塗布することで効果を発揮します。
Miペーストの特徴の一つは、ミネラルを豊富に含んでいる点です。
このミネラル成分が歯の再石灰化を促進し、ホワイトスポットを改善できる可能性があります。
ただし、Miペーストは一般的に安全に使用できますが、その効果は個々の状況によって異なります。
効果は緩やかであり、必ずしも顕著な改善が見られるとは限りません。
ダイレクトボンディング
ダイレクトボンディングは、ホワイトスポットを削り取り、その部分を樹脂で埋めることで目立たないようにする治療法です。
この治療法は、特に病巣が深いホワイトスポットに対して適用されることが多いです。
治療には歯の一部切削が必要ですが、この切削は最小限の範囲に留め、健康な歯質をできるだけ保存するように行われます。
その後、切削した部分に樹脂を埋め込み、自然な歯の色や形状に調整することで、治療痕を目立たせずにホワイトスポットを改善することができます。
ただし、ダイレクトボンディングに使用される樹脂には一般的にプラスチック成分が含まれています。
そのため、長期的には経年変化による変色や着色の可能性があり、定期的なメンテナンスが必要となる場合があります。
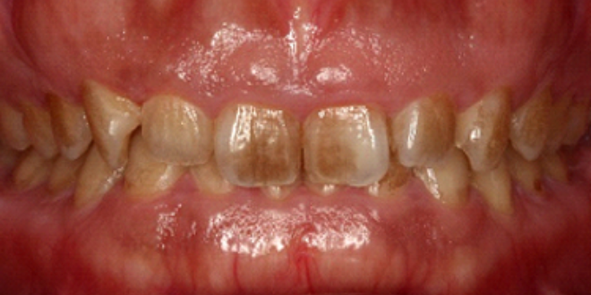
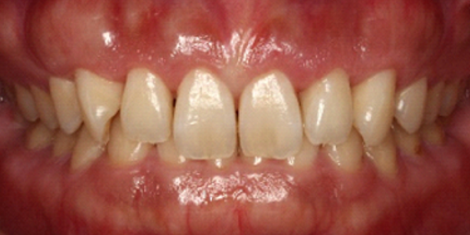
ラミネートベニアでホワイトスポットを改善した症例
丸の内帝劇デンタルクリニックでラミネートベニアを用いてホワイトスポットを改善した患者様の症例をご紹介します。

こちらの患者様の治療前は、前歯全体にホワイトスポットによる白濁が見られ、笑った時や口を開けたときに非常に目立つ状態でした。

当院で前歯にラミネートベニア治療を施した結果、歯の白濁が大幅に改善され、前歯全体が自然で美しい印象に変化しました。
ラミネートベニア治療は、ホワイトスポットの改善だけでなく歯全体の色調を整えることができます。
これにより、歯並びが均一で魅力的な印象に仕上がりました。
ホワイトスポットでお悩みの方は丸の内帝劇デンタルクリニックの削らないラミネートベニア
ホワイトスポットは、健康上の大きな問題を引き起こさないのであれば積極的な治療が必要ないこともあります。
しかし、前歯にホワイトスポットがあると見た目が気になるため、改善を希望する方が多いです。
ホワイトスポットの改善には様々な治療法がありますが、特に効果的なのが削らないラミネートベニアです。
削らないラミネートベニアは、歯にセラミック製の薄いベニアを貼り付ける方法で、つけ爪のように歯の表面に貼り付けます。
この方法により、ホワイトスポットを確実に改善でき、歯の色や形を均一に整えられます。
通常のラミネートベニア治療では、ベニアを装着するために歯の表面を削る必要があるため、一部の患者様は健康面での不安を感じる場合があります。
しかし、丸の内帝劇デンタルクリニックでは、歯を削らずに極薄で高強度のセラミックを張り付ける新しい方法のラミネートベニアを提供しています。
この方法により、歯へのダメージを最小限に抑えつつ、美しい歯を実現することが可能です。
当院では、患者様の歯の状態を丁寧に診察し、詳細なカウンセリングを行うことで、患者様一人ひとりに最適な治療法を提案しています。
歯のホワイトスポットが気になる方は、ぜひ丸の内帝劇デンタルクリニックへご相談ください。
[column_setbtn_reserve]