歯を削らないラミネートベニア最前線|東京の専門医院

Column

歯を削らないラミネートベニア最前線|東京の専門医院

歯を削らないラミネートベニアとは?美しい歯を手に入れる最新技術

笑顔に自信が持てないと、人との会話も億劫になってしまいますよね。歯の色や形、大きさなど、様々なコンプレックスを抱えている方は少なくありません。

従来の審美歯科治療では、歯を大きく削って被せ物をする必要がありましたが、現在では歯をほとんど削らない、あるいは全く削らずに美しい歯を手に入れる方法があります。それが「歯を削らないラミネートベニア」です。

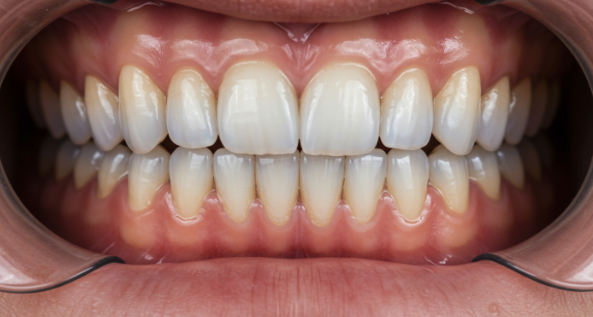
ラミネートベニアとは、歯の表面に薄いセラミックやジルコニアの板を接着する治療法です。特に「歯を削らないラミネートベニア」は、健康な歯質をできるだけ残したまま審美性を高められる革新的な方法として注目を集めています。

この記事では、歯を削らないラミネートベニアの特徴やメリット・デメリット、東京で受けられる専門医院について詳しく解説します。美しい歯を手に入れたいと考えている方は、ぜひ参考にしてください。

なぜ今「歯を削らないラミネートベニア」が注目されているのか

審美歯科治療の世界では、「MI(Minimal Intervention)」という考え方が浸透しています。これは「最小限の侵襲」を意味し、できるだけ歯を削らず、健康な歯質を残す治療を目指すものです。

従来のセラミック治療では、歯を0.7~1.5mm以上削る必要がありました。一見わずかに思えるかもしれませんが、これは歯のエナメル質をほぼ全て削ってしまう量です。歯の神経に近い象牙質まで露出させてしまうと、知覚過敏や将来的な神経の問題につながるリスクがあります。

しかし、最新の技術では、わずか0.01~0.3mmという極薄のセラミック製ラミネートベニアが開発されています。これにより、歯を削らずに装着できるようになりました。

「歯を削らない」という点は、患者さんにとって大きなメリットです。痛みがほとんどなく、麻酔も不要で、治療後の知覚過敏などのリスクも最小限に抑えられます。また、万が一気に入らなかった場合でも、元の状態に戻せるという安心感があります。

さらに、治療期間の短縮も大きな魅力です。従来の治療では、歯を削った後に仮歯を装着し、数週間待つ必要がありましたが、削らないタイプなら短期間で完了することも可能です。

このような患者さんにとってのメリットが評価され、今、歯を削らないラミネートベニアは審美歯科治療の最前線として注目を集めているのです。

あなたも、できるだけ健康な歯を残しながら美しい歯並びを手に入れたいと思いませんか?

歯を削らないラミネートベニアのメリット・デメリット

審美歯科治療を検討する際には、メリットとデメリットを理解した上で選択することが重要です。歯を削らないラミネートベニアの特徴を詳しく見ていきましょう。

メリット:健康な歯を守りながら美しさを手に入れる

最大のメリットは、健康な歯質を保存できることです。歯のエナメル質は一度削ってしまうと二度と再生しません。削らないラミネートベニアなら、この貴重なエナメル質を守りながら審美性を高められます。

また、痛みをほとんど感じることなく治療を受けられるのも大きな利点です。麻酔が不要なケースが多く、治療への恐怖心が少ない状態で臨めます。

さらに、接着力も優れています。エナメル質は接着に最も適した歯の組織であり、削らずに残すことで長期的な接着安定性が期待できるのです。

治療の可逆性も重要なポイントです。万が一気に入らなかった場合や問題が生じた場合でも、元の状態に戻せるという安心感があります。これは歯を大きく削る従来の治療にはない利点です。

デメリット:適応症例の限界と技術的な課題

一方で、すべての方に適応できるわけではないという制限があります。歯並びが極端に悪い場合や、大きく変色している場合には、ある程度歯を削る必要があるケースもあります。

また、技術的な難易度が高いため、経験豊富な歯科医師と高度な技術を持つ歯科技工士のチームワークが不可欠です。そのため、対応できる医院が限られており、費用も比較的高額になる傾向があります。

さらに、極薄のベニアを使用するため、強い力がかかると破損するリスクがあります。特に、歯ぎしりや食いしばりの強い方は注意が必要です。

装着後の色調変化の可能性も考慮すべきポイントです。極薄のベニアは半透明性があるため、下地の歯の色が透けて見えることがあります。そのため、強い変色がある場合には限界があるかもしれません。

これらのメリット・デメリットを踏まえた上で、自分に合った治療法を選ぶことが大切です。カウンセリングで歯科医師としっかり相談しましょう。

東京で歯を削らないラミネートベニアを受けられる専門医院

東京には歯を削らないラミネートベニアを提供する優れた歯科医院がいくつかあります。その中でも特に注目すべき医院をご紹介します。

5DENTAL TOKYO GINZA

医療法人社団ever 5DENTAL東京銀座は、「より低侵襲で体に優しい、健康を犠牲にしないような審美歯科」をコンセプトとする歯科医院です。有楽町駅・日比谷駅から徒歩数分という銀座エリアの好立地に位置しています。

当院では、「歯をできるだけ削らない方法」と「健康的な方法」による審美歯科治療を重視しています。削らないラミネートベニアをはじめ、3Dデジタルマウスピース矯正、オールセラミック・ジルコニア、ホワイトニング、歯肉整形(ガミースマイル改善)など、幅広い審美治療に対応しています。

院長は歯科医師・博士(歯学)の阿部洋太郎氏で、「最新の治療が最良の治療とは考えていませんが、患者様により優れた治療を提案できるクリニックでありたい」という理念を掲げています。

施設面では、「キレイな水EPIOS殺菌水システム」を導入しており、衛生面への配慮も徹底しています。24時間ネット予約システムも備えており、患者さんの利便性を高めています。

最新技術:極薄セラミック製ラミネートベニアの進化

審美歯科の世界では、材料と技術の進化が日々続いています。特に注目すべきは、極薄セラミックス製ラミネートベニアの開発です。

従来のラミネートベニアは主にセラミック(ポーセレン)製でしたが、最新技術では高強度セラミックを使用した超薄型のベニアが開発されています。

最新技術により、歯を全く削らずに装着でき、治療時間と患者負担を大幅に軽減することが可能になっています。国内外のクリニックでの導入も加速しており、審美歯科治療の新たな選択肢として注目を集めています。

あなたも最新の技術を活用して、健康な歯を守りながら美しい笑顔を手に入れてみませんか?

歯を削らないラミネートベニアの治療プロセス

歯を削らないラミネートベニアの治療は、どのような流れで進むのでしょうか。一般的な治療プロセスを見ていきましょう。

初回カウンセリングと診断

まず初めに、詳細なカウンセリングを行います。患者さんの希望や悩みをしっかりとヒアリングし、口腔内の状態を確認します。

この段階で、写真撮影、レントゲン撮影、歯型取りなどを行い、現状の歯並びや噛み合わせを詳細に分析します。これらの資料を基に、歯を削らないラミネートベニアが適応できるかどうかを診断します。

適応症と判断された場合は、治療計画を立て、費用や期間について説明を受けます。

治療シミュレーションと試適

多くの専門医院では、実際の治療前にシミュレーションを行います。コンピューターで仮想的に完成イメージを作成したり、歯型から作った模型上で仮のベニアを作成したりして、患者さんに完成イメージを確認してもらいます。

このステップは非常に重要です。「こんなはずではなかった」ということがないよう、事前に完成イメージを患者さんと医師が共有しておくことで、満足度の高い結果につながります。

ベニアの製作と装着

シミュレーションで確認した内容に基づき、実際のラミネートベニアを製作します。ベニアが完成したら、装着の日を設定します。装着時は、歯の表面を特殊な薬剤で処理し、専用の接着剤でベニアを丁寧に貼り付けていきます。歯を削らないタイプでは、この工程が特に重要で、高い技術が求められます。

装着後は、噛み合わせの確認や微調整を行い、最終的な仕上がりを確認します。

メンテナンスとアフターケア

治療完了後も定期的なメンテナンスが重要です。

日常のケアとしては、通常の歯磨きに加え、強い力での歯ぎしりや硬いものを噛むことを避けるなどの注意が必要です。適切なケアを続けることで、美しい状態を長く保つことができます。

このように、歯を削らないラミネートベニアの治療は、カウンセリングから装着、アフターケアまで一貫した流れで進みます。信頼できる専門医院で、丁寧な治療を受けることが成功の鍵です。

よくある質問と回答:歯を削らないラミネートベニアについて

歯を削らないラミネートベニアについて、患者さんからよく寄せられる質問とその回答をまとめました。治療を検討する際の参考にしてください。

費用はどれくらいかかりますか?

歯を削らないラミネートベニアの費用は、医院によって異なりますが、一般的に1本あたり9万円〜18万円程度です。使用する材料や技術によって価格が変わることがあります。

例えば、5DENTAL TOKYO GINZAでは、ラミネートベニアの費用は1本6万円〜9万円

なお、審美歯科治療は自由診療となるため、保険適用外です。治療前に詳細な見積もりを確認することをおすすめします。

どのくらいの期間、美しさが持続しますか?

適切なケアを行えば、10年以上の長期にわたって美しさを保つことが可能です。ただし、個人の生活習慣や口腔内環境によって差があります。

特に歯ぎしりや食いしばりの強い方、硬いものをよく噛む方は、ベニアに負担がかかるため、寿命が短くなる可能性があります。ナイトガードの使用など、適切な対策を取ることが重要です。

治療後の違和感はありますか?

歯を削らないタイプのラミネートベニアは、極薄の材料を使用するため、装着後の違和感は最小限に抑えられます。多くの患者さんは、数日程度で慣れると報告しています。

ただし、個人差があるため、違和感が続く場合は担当医に相談することをおすすめします。微調整が必要な場合もあります。

どんな歯の悩みに対応できますか?

歯を削らないラミネートベニアは、以下のような審美的な悩みに対応できます:

  • 軽度〜中等度の変色歯
  • すきっ歯・矮小歯
  • 軽度の歯並びの乱れ
  • 歯の形の修正
  • 前歯の詰め物の変色

ただし、重度の変色や極端な歯並びの乱れ、大きな欠損がある場合などは、他の治療法が適している場合があります。カウンセリングで詳細な診断を受けることが大切です。

治療は痛いですか?

歯を削らないタイプのラミネートベニアは、基本的に痛みを伴いません。麻酔も不要なケースがほとんどです。

これは従来の審美歯科治療と大きく異なる点で、歯科治療に恐怖心がある方にもおすすめできる治療法です。

このように、歯を削らないラミネートベニアは、痛みや違和感が少なく、様々な審美的悩みに対応できる治療法です。ただし、すべての方に適応するわけではないため、専門医によるカウンセリングで適応性を確認することが重要です。

まとめ:健康な歯を守りながら美しい笑顔を手に入れる

歯を削らないラミネートベニアは、健康な歯質を最大限に保存しながら、美しい笑顔を手に入れられる革新的な治療法です。痛みがほとんどなく、麻酔も不要で、短期間で理想の歯を手に入れられるというメリットがあります。

特に、東京には5DENTAL TOKYO GINZAは、この治療に特化した専門医院があり、高品質な治療を受けることが可能です。

すべての方に適応するわけではないため、専門医によるカウンセリングで適応性を確認することが重要です。また、治療後も適切なケアを続けることで、美しさを長く保つことができます。

笑顔に自信が持てれば、人生はもっと豊かになります。コンプレックスを解消し、自分らしい笑顔を取り戻すために、歯を削らないラミネートベニアという選択肢を検討してみてはいかがでしょうか。

より詳しい情報や実際の症例写真を見たい方は、5DENTAL TOKYO GINZAの公式サイトをご覧ください。あなたに合った最適な治療法を見つけるお手伝いをいたします。